Воспользуйтесь поиском по сайту:
Содержание статьи:
Церебральный атеросклероз является одной из разновидностей атеросклероза, при которой происходит формирование атеросклеротических бляшек в сосудах головного мозга, что приводит к нарушениям мозгового кровоснабжения.
Основная причина церебрального атеросклероза – нарушение мозгового кровообращения вследствие атеросклеротических бляшек в сосудахНа долю церебрального атеросклероза сосудов головного мозга приходится примерно 20% в структуре общей неврологической патологии, а также примерно 50% от всех случаев сердечно-сосудистых заболеваний. Атеросклеротическое поражение церебральных сосудов может отмечаться уже в 20–30 лет, однако выраженные клинические проявления заболевания обычно возникают у пациентов старше 50 лет. Заболеванию в большей степени подвержены лица мужского пола, однако с возрастом церебральный атеросклероз регистрируется у мужчин и женщин с примерно одинаковой частотой. Это связано с тем, что после наступления менопаузы в организме женщины снижается уровень эстрогенов, которые сдерживают развитие атеросклеротических поражений сосудов.
Основные клинические проявления заболевания обусловлены постепенно развивающейся на фоне поражения церебральных сосудов недостаточностью мозгового кровообращения, приводящей к ишемии тканей. Образование атеросклеротической бляшки происходит в несколько стадий (от липидного пятна до атерокальциноза, или обызвествления). Сформировавшаяся бляшка увеличивается в размерах и постепенно перекрывает просвет пораженного кровеносного сосуда, способствуя его закупорке тромбами. Уменьшение просвета кровеносного сосуда и, соответственно, ухудшение кровоснабжения участка головного мозга приводит к развитию гипоксии и дефициту питательных веществ. Прогрессирование патологического процесса обусловливает дегенеративные изменения и гибель отдельных нейронов. Часть атеросклеротической бляшки может отрываться и переноситься с током крови в сосуды меньшего калибра, что приводит к внезапной окклюзии кровеносного сосуда. Нарушение эластичности сосудистой стенки в месте формирования атеросклеротической бляшки, особенно на фоне сопутствующей артериальной гипертензии, может приводить к разрыву сосудистой стенки и развитию геморрагических осложнений.
Из всех церебральных сосудов атеросклеротическому поражению более подвержены артерии варолиевого моста, таламуса и подкорковых узлов.
Развитие тяжелых осложнений церебрального атеросклероза может приводить к инвалидизации пациента, а также к летальному исходу.
Церебральный атеросклероз относят к полиэтиологическим заболеваниям. В первую очередь риск развития церебрального атеросклероза сосудов головного мозга повышается с возрастом. Возникновение его в более раннем возрасте обычно происходит на фоне нерационального питания, нарушений метаболизма, избыточного веса, недостаточной физической активности, табакокурения, а также злоупотребления спиртными напитками. Кроме того, способствует развитию патологии артериальная гипертензия. Нередко у пациентов наблюдается сочетание церебрального атеросклероза и повышенного артериального давления, при этом оба состояния усугубляют течение друг друга.
Риск развития церебрального атеросклероза повышается при неправильном образе жизниТакже к факторам риска относят хронические инфекционные процессы и интоксикацию организма, которые оказывают неблагоприятное воздействие на сосудистую стенку. Определенную роль играют неблагоприятное психоэмоциональное состояние, психическое перенапряжение, а также частые стрессовые ситуации. Имеет значение и генетическая предрасположенность. В клинической практике нередко регистрируются семейные случаи развития такого осложнения церебрального атеросклероза, как инсульт.
Церебральный атеросклероз классифицируют по локализации и клиническому течению.
В зависимости от локализации поражения в патологический процесс могут вовлекаться задняя мозговая артерия, передняя мозговая артерия, внутренняя или общая сонная артерии, брахиоцефальный ствол, кровеносные сосуды меньшего калибра.
По клиническому течению церебральный атеросклероз подразделяют на интермиттирующий, медленно прогрессирующий, острый и злокачественный.
В клинической картине церебрального атеросклероза выделяют три стадии:
Развитие церебрального атеросклерозаКлинические проявления церебрального атеросклероза возникают на фоне ишемии тканей, которая развивается при перекрытии церебрального кровотока атеросклеротической бляшкой.
На начальной стадии заболевания проявления церебрального атеросклероза имеют преходящий характер, обычно они возникают при физическом и/или психическом перенапряжении и исчезают в состоянии покоя. Пациенты предъявляют жалобы на слабость, вялость, быструю утомляемость, повышенную раздражительность, нарушения концентрации внимания, ухудшение памяти. Отмечаются периодические нарушения ночного сна, бессонница, дневная сонливость, головокружения (особенно при смене положения тела из горизонтального в вертикальное). Превалирующим симптомом на данной стадии заболевания может быть головная боль, которая сочетается с шумом в голове, в ушах или в одном ухе. Кроме того, больные могут жаловаться на онемение нижних конечностей, покалывание в области лица, ощущение жара в затылочной области, нечеткость речи, снижение остроты зрения, снижение слуха (вплоть до полной его потери), нарушения вкуса.
При церебральном атеросклерозе больные жалуются на головокружения при смене положения телаПри дальнейшем развитии патологии усугубляются интеллектуально-мнестические нарушения, может развиваться депрессия. У пациента появляются тревожность, мнительность, быстрые смены настроения. Шум в голове может беспокоить постоянно. Также на данном этапе может нарушаться походка и координация движений, отмечаться тремор головы и/или пальцев. Постепенно утрачивается работоспособность.
При дальнейшем прогрессировании заболевания у больных церебральным атеросклерозом отмечаются провалы в памяти, апатия, утрата способности ориентироваться во времени и в окружающей обстановке, теряются навыки самообслуживания.
Важным признаком, на который следует обращать внимание при наличии церебрального атеросклероза, является развитие мозгового или гипертонического криза. Данное состояние сопровождается интенсивными головными болями, слабостью в одной из верхних и/или нижних конечностей, расстройствами речи и нарушениями зрения. Обычно криз продолжается не больше двух суток, после чего состояние пациента стабилизируется. Сохранение симптомов дольше двух дней может свидетельствовать об осложнении церебрального атеросклероза инсультом.
На долю церебрального атеросклероза сосудов головного мозга приходится примерно 20% в структуре общей неврологической патологии, а также примерно 50% от всех случаев сердечно-сосудистых заболеваний.
Читайте также:6 основных причин повышенного артериального давления
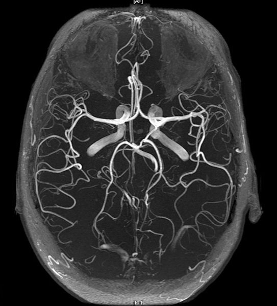
Для постановки диагноза церебрального атеросклероза необходим осмотр пациента неврологом. Диагностика заболевания базируется на данных анамнеза, клинических проявлениях, а также данных ряда дополнительных обследований. Проведение дуплексного сканирования дает возможность оценить состояние внечерепных артерий, которые питают головной мозг. Данный диагностический метод в сочетании с ультразвуковым исследованием черепных артерий позволяет получить информацию о локализации атеросклеротического поражения, степени сужения кровеносного сосуда, а также о характере атеросклеротической бляшки. Состояние кровеносных сосудов головного мозга можно оценить путем проведения ангиографического исследования. Компьютерная томография обычно применяется у пациентов с церебральным атеросклерозом, которые перенесли инсульт, для уточнения локализации поражения и выбора тактики дальнейшего лечения. Для оценки состояния церебральных сосудов также используют магниторезонансную томографию. Оценить функциональное состояние мозга можно при посредстве электроэнцефалографии. Патологические изменения сосудов сетчатки можно выявить при проведении офтальмоскопии. При нарушениях слуха требуется осмотр пациента оториноларингологом с проведением аудиометрии. Может потребоваться проведение иммунологического исследования, а также биохимического анализа крови для определения уровня холестерина и липопротеинов (липидограмма).
Подтвердить диагноз церебральный атеросклероз позволяет МРТ сосудов головного мозгаЦеребральный атеросклероз неизлечим, однако при проведении своевременной адекватной терапии возможно замедлить его прогрессирование. При лечении церебрального атеросклероза в первую очередь необходимо устранить неблагоприятные факторы, которые обусловили развитие патологического процесса.
Консервативное лечение церебрального атеросклероза в первую очередь направлено на улучшение мозгового кровообращения, а также на профилактику тромбообразования.
При наличии у пациента с церебральным атеросклерозом артериальной гипертензии тщательно подбирается гипотензивная терапия. С целью коррекции содержания холестерина и/или липопротеинов в крови применяются гиполипидемические лекарственные средства. Прием ноотропных препаратов способствует улучшению когнитивных способностей. При необходимости пациентам с церебральным атеросклерозом назначаются антитромбоцитарные средства, сосудорасширяющие препараты, лекарственные средства, которые уменьшают воспалительный процесс в кровеносных сосудах. С целью профилактики развития нарушений кровообращения назначаются коронаролитические препараты. Кроме того, в ряде случаев прибегают к каскадной фильтрации плазмы крови и криоаферезу.
Атеросклеротическое поражение церебральных сосудов может отмечаться уже в 20–30 лет, однако выраженные клинические проявления заболевания обычно возникают у пациентов старше 50 лет.
Пациентам показана диета, исключающая продукты с высоким содержанием холестерина (маргарин, жирное мясо, яйца, колбасные изделия, рыбные консервы и пр.), при повышенной массе тела уменьшают суточную калорийность рациона.
При церебральном атеросклерозе показана антихолестериновая диетаПовторные транзиторные ишемические атаки, окклюзия сонной артерии с уменьшением ее просвета более чем на 70%, малый инсульт в анамнезе становятся показаниями к хирургическому лечению церебрального атеросклероза. Основными оперативными методами при данном заболевании являются удаление атеросклеротической бляшки с участком интимы кровеносного сосуда (эндартерэктомия), а также создание сосудистого шунта, огибающего пораженный участок артерии.
Эндартерэктомия в случае церебрального атеросклероза проводится закрытым, т. е. эндоскопическим способом с применением баллонов и стентов. С этой целью в широкий кровеносный сосуд внедряется эндоскоп со стентом, затем под рентгенологическим контролем он продвигается к месту закупорки артерии атеросклеротической бляшкой, где и происходит установка стента, который увеличивает просвет кровеносного сосуда и, соответственно, восстанавливает кровоток. По показаниям могут проводиться протезирование брахиоцефального ствола, формирование экстра-интракраниального анастомоза.
Шунтирование сосудов головного мозга – операция, состоящая в создании другого пути кровотока, в обход сосуда, пораженного атеросклерозом. Шунт создается из вены пациента или берется искусственный. Его вшивают в пораженную артерию перед местом закупорки и после него, не удаляя поврежденный участок.
При отсутствии своевременной диагностики и правильно подобранного лечения на фоне церебрального атеросклероза развиваются деменция, хроническая ишемия головного мозга, инсульт, инфаркт миокарда, паралич и пр.
Прогноз при церебральном атеросклерозе во многом зависит от возраста пациента, своевременности начала лечения, а также от возможности устранить факторы риска, послужившие причиной заболевания.
Развитие тяжелых осложнений церебрального атеросклероза может приводить к инвалидизации пациента, а также к летальному исходу.
В целях профилактики церебрального атеросклероза рекомендуется:
Видео с YouTube по теме статьи:

Информация является обобщенной и предоставляется в ознакомительных целях. При первых признаках болезни обратитесь к врачу. Самолечение опасно для здоровья!
Кровь человека «бегает» по сосудам под огромным давлением и при нарушении их целостности способна выстрелить на расстояние до 10 метров.



