Воспользуйтесь поиском по сайту:
Содержание статьи:
Деменция – синдром приобретенного нарушения памяти в сочетании с одним из следующих расстройств: нарушение речи, нарушение способности выполнять сложные целенаправленные запланированные действия (праксиса) или способности узнавать предметы и их характеристики на базе ощущений (гнозиса), – отмечающихся на протяжении не менее полугода и затрудняющих трудовую деятельность или ограничивающих социальную активность пациента.
Деменция — это синдром, при котором происходит деградация когнитивной функцииВ глобальном плане деменция обусловлена выраженным снижением познавательных функций (когнитивными нарушениями), когда пациент утрачивает самостоятельность и оказывается неспособным выполнять привычные действия без посторонней помощи.
После 40-45 лет в ряде случаев отмечается физиологическое снижение познавательной активности, памяти, концентрации, однако эти изменения не провоцируют значимых последствий для трудовой и социальной жизни, что является принципиальным отличием деменции от естественных недементных процессов изменения активности головного мозга.
Деменция достаточная распространена в неврологической практике, характерно ее прогрессирование с возрастом: так, у лиц 65 лет и старше патология отмечается приблизительно в 5-10% случаев, у пациентов 90 лет и старше – в 20% случаев и более.
Число лиц, страдающих деменцией, растет, что связано с увеличением продолжительности жизни. На настоящее время в мире зарегистрировано около 50 миллионов пациентов с данным диагнозом, ежегодно выявляется более 7,5 миллиона новых случаев заболевания.
Синоним: приобретенное слабоумие.
Длительность заболевания составляет, как правило, 5–10 лет, смерть пациента наступает от обострения сопутствующих соматических заболеваний, присоединения инфекционных процессов.
Приблизительно в 80% случаев деменция у пожилых пациентов обусловлена следующими причинами:
Исследователями отмечается характерная взаимосвязь уровня интеллекта пациента и тяжести клинических проявлений патологического состояния. Указывается, например, что лица с высоким уровнем интеллектуального развития более долгое время демонстрируют стабильное течение деменции и в меньшей степени подвержены интенсивному прогрессированию состояния.
Помимо основных причин, деменцию способны спровоцировать прочие заболевания и состояния:
В некоторых случаях достоверно выявить причину приобретенного слабоумия не представляется возможным, тогда говорят о неуточненной деменции.
В соответствии с этиологическим фактором деменция может быть:
В зависимости от локализации:
Распространенность разных видов деменции у лиц старше 65 летСогласно синдромальной классификации, приобретенное слабоумие делится:
В отдельную форму выделена псевдодеменция – заболевание, при котором отмечается резкое ухудшение когнитивных функций вследствие какой-либо психиатрической патологии, чаще истероидной психопатии или расстройств депрессивного спектра.
В подавляющем большинстве случаев заболевание развивается постепенно. Ранние признаки приобретенного слабоумия:
Симптомы деменции у пожилых людейПо мере прогрессирования заболевания симптомы усиливаются, значительно сужая возможности пациента:
У лиц 65 лет и старше деменция отмечается приблизительно в 5-10% случаев, у пациентов 90 лет и старше – в 20% случаев и более.
Для поздней стадии деменции характерны следующие проявления:
Для деменции характерно сохранение сознания вплоть до терминальной стадии процесса.
Читайте также:Как улучшить и сохранить память
С целью диагностики деменции проводят всестороннее обследование пациента по следующим направлениям:
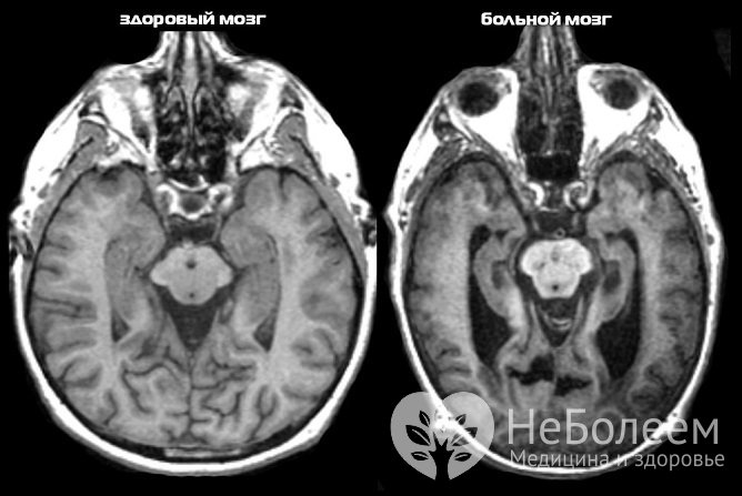
Диагностировать деменцию помогают КТ или МРТОсновными факторами, определяющими стратегию лечения приобретенного слабоумия, являются выраженность клинических проявлений заболевания и его причины. В составе комплексной терапии назначаются:
Проводится также симптоматическая терапия сопутствующих нарушений соматической и психической сфер.
Медикаментозное лечение деменции длительное, иногда пожизненное. При достижении стойкой терапевтической концентрации препаратов в плазме крови приблизительно у половины пациентов (по другим данным – у 70%) отмечается регресс симптоматики: повышается самостоятельность в повседневной активности, нивелируются нарушения речи, двигательные нарушения, улучшается память, активизируются когнитивные процессы, в различной степени восстанавливается социальная активность.
Важный фактор профилактики деменции – рациональная диетотерапия. Полезна средиземноморская диета (овощи в большом количестве, оливковое масло, морепродукты).
Помимо фармакотерапии, пациентам с приобретенным слабоумием рекомендованы регулярные когнитивные тренировки (чтение, разгадывание кроссвордов и т. п.) с целью стимулирования интеллектуальной активности.
Разгадывание кроссвордов и чтение помогают замедлить процесс деменцииОсложнениями деменции могут быть:
Длительность заболевания составляет, как правило, 5–10 лет, смерть пациента наступает от обострения сопутствующих соматических заболеваний, присоединения инфекционных процессов.
Основой профилактики необратимого угасания когнитивных функций является интеллектуальная тренировка. Доказано, что у лиц, занимающихся напряженным интеллектуальным трудом или обладающих исходно высоким уровнем интеллекта, реже возникают когнитивные нарушения, а в случае их развития – прогрессируют медленнее, чем у лиц физического труда или пациентов с невысоким уровнем интеллекта.
Важный фактор профилактики деменции – рациональная диетотерапия. Установлен профилактический эффект так называемой средиземноморской диеты (овощи в большом количестве, оливковое масло, морепродукты) в отношении нарушений памяти и внимания в пожилом возрасте.
Видео с YouTube по теме статьи:

Информация является обобщенной и предоставляется в ознакомительных целях. При первых признаках болезни обратитесь к врачу. Самолечение опасно для здоровья!
Печень – это самый тяжелый орган в нашем теле. Ее средний вес составляет 1,5 кг.



