Метод магнитной томографии известен под несколькими названиями: магнитно-резонансная томография, ядерный резонанс, магнитно-ядерная томография. Эти названия отражают суть метода: диагностика, основанная на явлении ядерного резонанса, возникающего под влиянием магнитного поля. Несмотря на такое устрашающее для людей, не связанных с физикой, название, этот метод стал прорывом в аппаратной диагностике, и в настоящее время считается наиболее информативным методом медицинской визуализации.
Процедура магнитной томографии состоит в следующем: пациента в положении лежа помещают внутрь бокса, где он, сохраняя неподвижность, находится от 10 минут до получаса. Метод неинвазивный, то есть непосредственного контакта аппарата с телом не происходит, и потому никаких неприятных ощущений при этом человек не испытывает, разве что его может раздражать звук от работающего аппарата. На этот случай пациенту могут предложить надеть наушники, но, как правило, звук не настолько силен, чтобы представлять собой серьезную проблему.
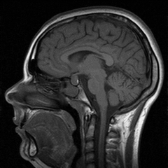
С помощью метода магнитной томографии можно получить изображение любых внутренних сред организма, причем изображение послойное и очень точное, что позволяет достоверно определять не только размеры, но и местоположение, скажем, опухоли или кисты, и ее взаимодействие с соседними органами. Благодаря этому магнитная томография широко используется в нейрологии, с ее помощью диагностируют большинство заболеваний головного и спинного мозга.
Вообще стоит сказать, что метод магнитного резонанса настолько информативен и безопасен, что его можно применять практически во всех случаях диагностики болезней внутренних органов. Пожалуй, единственное, что препятствует его еще более широкому, чем в настоящее время, использованию, это довольно высокая стоимость исследования, поскольку весьма дорогой является аппаратура для его проведения. Тем не менее, сейчас вопрос «где сделать хорошее МРТ?» обычно уже не стоит, поскольку каждое крупное медицинское учреждение располагает такой возможностью.
Магнитная томография незаменима при диагностике следующих заболеваний:
Подозрения на опухоли головного и спинного мозга;
Злокачественные опухоли любых внутренних органов, а также все виды метастазов (или подозрений на них) злокачественных опухолей;
Инсульт и постинсультные состояния;
Травмы головы;
Травмы позвоночника;
Заболевания сосудов любого происхождения, диагностика кровообращения в зоне поражения (магнитно-резонансная ангиография);
Заболевания внутреннего уха;
Заболевания костей и суставов.
Противопоказанием к магнитной томографии служит наличие имплантов – эндопротезов, изготовленных из материала, поддающегося намагничиванию. Это могут быть слуховые имланты, искусственные водители ритма сердца и т.п. Во всех остальных случаях противопоказания являются относительными – то есть такими, которыми в условиях острой необходимости можно пренебречь.
Нашли ошибку в тексте? Выделите ее и нажмите Ctrl + Enter.
Каждый человек имеет не только уникальные отпечатки пальцев, но и языка.
По статистике, по понедельникам риск получения травм спины увеличивается на 25%, а риск сердечного приступа – на 33%. Будьте осторожны.
Средняя продолжительность жизни левшей меньше, чем правшей.
Раньше считалось, что зевота обогащает организм кислородом. Однако это мнение было опровергнуто. Ученые доказали, что зевая, человек охлаждает мозг и улучшает его работоспособность.
Согласно исследованиям ВОЗ ежедневный получасовой разговор по мобильному телефону увеличивает вероятность развития опухоли мозга на 40%.
Самая высокая температура тела была зафиксирована у Уилли Джонса (США), который поступил в больницу с температурой 46,5°C.
Наши почки способны очистить за одну минуту три литра крови.
Для того чтобы сказать даже самые короткие и простые слова, мы задействуем 72 мышцы.
Если бы ваша печень перестала работать, смерть наступила бы в течение суток.
Американские ученые провели опыты на мышах и пришли к выводу, что арбузный сок предотвращает развитие атеросклероза сосудов. Одна группа мышей пила обычную воду, а вторая – арбузный сок. В результате сосуды второй группы были свободны от холестериновых бляшек.
У 5% пациентов антидепрессант Кломипрамин вызывает оргазм.
Самое редкое заболевание – болезнь Куру. Болеют ей только представители племени фор в Новой Гвинее. Больной умирает от смеха. Считается, что причиной возникновения болезни является поедание человеческого мозга.
Во время чихания наш организм полностью прекращает работать. Даже сердце останавливается.
На лекарства от аллергии только в США тратится более 500 млн долларов в год. Вы все еще верите в то, что способ окончательно победить аллергию будет найден?
Если улыбаться всего два раза в день – можно понизить кровяное давление и снизить риск возникновения инфарктов и инсультов.