Воспользуйтесь поиском по сайту:
Содержание статьи:
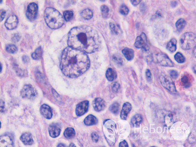
Лимфома Ходжкина (лимфогранулематоз, болезнь Ходжкина) – злокачественная опухоль лимфоидной ткани с образованием специфических полиморфно-клеточных гранулем. Опухолевый субстрат лимфомы Ходжкина – клетки Рида – Штернберга (лакунарные гистиоциты) – большие полиплоидные клетки, содержащие многодольчатое ядро. Основная масса опухоли пораженного лимфоузла представляет собой гранулему со скоплениями лимфоцитов (среди них преобладают Т-клетки), гранулоцитов, гистиоцитов, эозинофилов, плазматических и ретикулярных клеток. Ткань пораженного лимфоузла пронизана фиброзными соединительнотканными тяжами, исходящими из капсулы.
Источник: okeydoc.ruЗаболевание названо в честь Томаса Ходжкина, который в 1832 году описал семь случаев болезни и предложил выделить в отдельную нозологическую единицу патологии, общей чертой которых является увеличение лимфатических узлов и селезенки, кахексия (крайнее истощение организма) и смертельный исход.
Адекватное и своевременное лечение позволяет получить хорошие результаты, добиться стойкой ремиссии удается более чем у 50% пациентов.
Средние показатели заболеваемости лимфомой Ходжкина колеблются в пределах 0,6–3,9% у мужчин и 0,3–2,8% у женщин и составляют в среднем 2,2 случая на каждые 100 000 населения. Болезнь встречается во всех возрастах, среди детских онкологических заболеваний занимает третье место по распространенности.
Этиологический фактор заболевания остается невыясненным. Предполагается, что лимфома Ходжкина является В-клеточной опухолью, развивающейся на фоне Т-клеточного иммунодефицита, обусловленного гипофункцией тимуса.
Выделяют несколько предрасполагающих факторов:
В основе классификации лимфомы Ходжкина лежит гистологическая характеристика пораженной ткани.
На ранних этапах заболевание, как правило, протекает без симптомов.
Выделяют четыре гистологических варианта лимфомы Ходжкина:
Источник: hematology.orgПри установлении стадий лимфомы Ходжкина учитывают данные результатов обследования и биопсии, определяют количество вовлеченных в патологический процесс органов и тканей, распространенность процесса выше или ниже диафрагмы:
Появление признаков биологической активности в период ремиссии указывает на начинающееся обострение.
IV стадия может иметь следующие варианты течения:
Первоначально патологический процесс развивается в лимфатических узлах. Они увеличиваются постепенно, опухолевый процесс распространяется и поражает другие органы и ткани. На ранних этапах заболевание, как правило, протекает без симптомов. По мере роста лимфоузлов они приобретают болезненность, и появляются симптомы, связанные со сдавливанием окружающих тканей и органов.
Местные признаки лимфомы Ходжкина:
Основной симптом лимфомы Ходжкина – лимфаденопатия (характеризуется значительным увеличением лимфатических узлов). Поражаются лимфоузлы среднего и переднего средостения, иногда – тимус. Также поражение может затронуть любые органы, в процесс могут быть вовлечены селезенка, печень, кожа, костный мозг, легкие, плевра, костная ткань.
Общие симптомы лимфомы Ходжкина:
При выраженном увеличении лимфатических узлов грудной клетки развиваются следующие симптомы:
В лечении лимфомы Ходжкина предпочтение отдается химиотерапии в сочетании с облучением, это дает максимальный эффект при минимальном количестве осложнений.
Когда процесс приобретает распространенный характер, появляются признаки поражения внутренних органов. Чаще всего обнаруживаются повреждения лимфатических узлов селезенки и печени. В результате увеличения этих внутренних органов происходит сдавление желудка и смещение почек. Вовлечение лимфатических узлов проявляется появлением болей в животе различной интенсивности.
Поражение легких, как правило, носит вторичный характер и является следствием перехода процесса с лимфатических желез средостения на легкие. Часто выявляется скопление жидкости в плевральных полостях.
Поражение нервной системы обнаруживается после экстенсивного распространения лимфогранулематоза в лимфатических железах и внутренних органах. Чаще всего встречаются поражения спинного мозга, при которых лимфогранулематозные элементы разрастаются в эпидуральной клетчатке и сдавливают спинной мозг. В таких случаях болезнь протекает как опухоль спинного мозга с проводниковыми расстройствами чувствительности, парезами и параличами, болями в конечностях.
Два основных пути поражения костной ткани – лимфогематогенное распространение и прорастание лимфогранулемы в костную ткань. Первичные костные повреждения выявляются на протяжении первого года болезни, вторичные изменения в костях проявляются через 1,5–2,5 года от начала болезни. Изменения скелета возникают при распространении процесса из прилежащих лимфатических узлов, плевры, средостения. Лимфогранулематозная ткань вызывает разрушение структуры кости и остеосклероз. Давление увеличенных лимфатических узлов на прилежащие нервные сплетения проявляются интенсивными болями в области позвоночника, в пораженных костях скелета.
При лечении больных с ранними и генерализованными стадиями заболевания лимфомы Ходжкина 5-летняя выживаемость, свободная от прогрессирования, составляет 90%, с III стадией – 60–80%, на IV стадии ремисии достигает менее 45% больных.
Отмечают также признаки биологической активности процесса, обусловленной продукцией цитокинов: повышение уровня сывороточного гаптоглобина, скорости оседания эритроцитов, содержания церулоплазмина и лактатдегидрогеназы, концентрации фибриногена выше референсных значений. Появление признаков биологической активности в период ремиссии указывает на начинающееся обострение.
Читайте также:13 причин субфебрильной температуры
Раннее выявление заболевания затруднено в силу того, что клинические симптомы не имеют строго определенного характера, а часто и вовсе отсутствуют.
Диагностика лимфомы Ходжкина основана на морфологической картине пораженного лимфатического узла или органа. Назначается рад исследований:
Разработаны разные схемы терапии, их выбор осуществляется с учетом типа и степени поражения, длительности течения и тяжести заболевания, наличия сопутствующей патологии.
Предполагается, что лимфома Ходжкина является В-клеточной опухолью, развивающейся на фоне Т-клеточного иммунодефицита, обусловленного гипофункцией тимуса.
Общая схема лечения лимфомы включает в себя два этапа:
При планировании объема лечения учитываются неблагоприятные факторы, определяющие тяжесть и распространенность опухолевого процесса:
Применяются разные варианты лучевой терапии – от локального облучения первичных очагов поражения в сниженных дозах до облучения по радикальной программе всех лимфоузлов при IV A стадии. Для предотвращения распространения опухолевых клеток по лимфатической системе проводится облучение смежных с очагами поражения ее регионарных отделов.
Полихимиотерапия заключается в одновременном применении нескольких цитостатиков. Существуют разные схемы комбинированной химиотерапии (протоколы), препараты назначают длительными курсами. Лечение поэтапное, предусматривает проведение двухнедельных циклов с двухнедельными интервалами, после завершения шести циклов назначают поддерживающее лечение.
Предпочтение отдается химиотерапии в сочетании с облучением, это дает максимальный эффект при минимальном количестве осложнений. Сначала проводят вводную полихимиотерапию с облучением только увеличенных лимфоузлов, затем – облучение всех остальных лимфоузлов. После лучевого воздействия проводится поддерживающая химиотерапия по той или иной схеме. Интенсивное лечение в период улучшения уменьшает число поздних осложнений и увеличивает возможности терапии обострений.
Средние показатели заболеваемости лимфомой Ходжкина колеблются в пределах 0,6–3,9% у мужчин и 0,3–2,8% у женщин и составляют в среднем 2,2 случая на каждые 100 000 населения.
Если процесс локален и доступен для хирургического вмешательства, производится удаление селезенки, изолированных лимфоузлов, единичных конгломератов лимфатических узлов с последующим облучением на гамма-терапевтических установках. Спленэктомия также показана при глубокой депрессии кроветворения, препятствующей проведению цитостатического лечения.
В случае прогрессирования заболевания и неэффективности терапии показана пересадка костного мозга.
Болезнь Ходжкина может иметь следующие осложнения:
Адекватное и своевременное лечение позволяет получить хорошие результаты, добиться стойкой ремиссии удается более чем у 50% пациентов. Эффективность терапии предопределяется дифференцированным подходом к разработке схем лечения для разных групп пациентов, выделенных на основании неблагоприятных прогностических факторов.
При применении интенсивных программ клинический эффект, как правило, наблюдается уже в процессе первого цикла. При лечении больных с ранними и генерализованными стадиями заболевания лимфомы Ходжкина 5-летняя выживаемость, свободная от прогрессирования, составляет 90%, с III стадией – 60–80%, на IV стадии ремисии достигает менее 45% больных.
Болезнь Ходжкина встречается во всех возрастах, среди детских онкологических заболеваний занимает третье место по распространенности.
Неблагоприятные прогностические признаки:
Специальные меры первичной профилактики болезни Ходжкина не разработаны. Особое внимание уделяется вторичной профилактике – предотвращению рецидивов. Людям, перенесшим лимфому Ходжкина, рекомендуется исключить физио-, электро- и тепловые процедуры, избегать физических перегрузок, инсоляции, им противопоказана работа, связанная с воздействием вредных производственных факторов. Для предупреждения снижения количества лейкоцитов проводятся переливания крови. С целью предотвращения нежелательных явлений женщинам рекомендуется планировать беременность не ранее чем через два года после выздоровления.
Видео с YouTube по теме статьи:

Диплом по специальности «Педиатрия», Санкт-Петербургский государственный педиатрический медицинский университет
Интернатура по специальности «Эндокринология», Кировская государственная медицинская академия
Информация является обобщенной и предоставляется в ознакомительных целях. При первых признаках болезни обратитесь к врачу. Самолечение опасно для здоровья!
В нашем кишечнике рождаются, живут и умирают миллионы бактерий. Их можно увидеть только при сильном увеличении, но, если бы они собрались вместе, то поместились бы в обычной кофейной чашке.

