Воспользуйтесь поиском по сайту:
Содержание статьи:
Кистой поджелудочной железы называется полостное образование в ткани железы, состоящее из капсулы и жидкого содержимого. Патология встречается одинаково часто у представителей обоих полов. Заболеванию подвержены все возрастные группы. Киста бывает врожденной и приобретенной, истинной и ложной, доброкачественной и злокачественной. Лечебная тактика и прогноз зависят от ее причины, механизма образования и размеров.
От типа панкреатической кисты зависит подход к ее лечению и прогнозСуществует несколько классификаций кист поджелудочной железы, отличающихся признаком, положенным в основу разделения.
Прежде всего, различают врожденные и приобретенные панкреатические полостные образования. Первые являются результатом внутриутробных пороков развития ткани железы и ее протоковой системы, вторые – следствие различных перенесенных заболеваний и патологических воздействий на орган.
Приобретенные кисты имеют разный механизм формирования.
|
Вид приобретенной кисты |
Механизм образования |
|
Ретенционная |
Сужение просвета или стойкая закупорка выводных панкреатических протоков опухолями, камнями, рубцовой тканью после травм, воспалительных процессов. Накопление секрета в протоке, его растягивание, создание постепенно увеличивающейся полости. |
|
Дегенерационная |
Некроз, или омертвение паренхимы железы в результате травматического повреждения, кровоизлияния, опухолевого поражения, гнойного расплавления; появление полости, содержащей омертвевшие ткани и кровь, которая постепенно заполняется панкреатическим секретом. |
|
Пролиферационная |
Деление и рост клеток эпителиальной выстилки капсулы при доброкачественных цистаденомах, неконтролируемый патологический процесс клеточного деления при злокачественных цистаденокарциномах. |
|
Паразитарная |
Пузырчатая личиночная стадия ленточных червей, встречающаяся при заражении эхинококкозом и цистицеркозом: формирование вокруг паразита капсулы из соединительной ткани, окруженной валом из воспаленной ткани железы, очаги размягчения и кровоизлияния в оболочке и в полости. |
Кистозные образования, в зависимости от особенностей формирования кистозной полости и строения стенки, подразделяют на истинные и ложные, или псевдокисты. Отличительной особенностью первых является наличие на внутренней поверхности капсулы выстилки из эпителиальных клеток. К таким относятся:
Истинные полостные образования составляют всего пятую часть от всех кистозных новообразований железы. Они достаточно редко достигают значительных размеров и порой обнаруживаются случайно во время операций, проводимых по другому поводу.
Стенки псевдокисты не имеют эпителиального покрова, их формирование представляет последовательность следующих процессов:
Псевдокисты составляют до 80% всех кистозных панкреатических образований и чаще всего являются следствием острого панкреатита. Гораздо реже причиной их развития служит травматическое повреждение паренхимы.
Клинические проявления определяются:
Кистозные образования поджелудочной железы небольшого объема часто протекают бессимптомно. Жалобы у больных появляются в тех случаях, когда полостное образование, а это чаще всего псевдокиста, достигает больших размеров и вызывает сдавление и/или смещение соседних органов. К наиболее распространенным симптомам относятся:
Боли обычно локализуются в верхней половине живота, по интенсивности бывают тупыми или острыми, по продолжительности – постоянными или приступообразными. Особенно сильные болевые ощущения возникают при давлении образования на чревное сплетение. Однако часто даже при гигантских псевдокистах отмечаются незначительные симптомы, и пациенты жалуются лишь на чувство давления и переполнения в эпигастральной области.
С одинаковой частотой встречается как медленно прогрессирующее течение заболевания, так и более острое, когда псевдокиста за короткий срок достигает значительных объемов. Оба варианта могут осложниться:
Большая псевдокиста способна сместить желудок, двенадцатиперстную кишку, сдавить общий желчный проток, провоцируя развитие желтухи.
Читайте также:Как сохранить здоровье поджелудочной железы: 5 советов
15 растений, проростки семян которых стоит включить в рацион
Диагностика кистозных образований поджелудочной железы проводится на основании клинических данных и дополнительных специальных методов исследования. Лабораторные показатели неспецифичны: отмечается незначительное повышение количества панкреатических ферментов в сыворотке крови и моче, иногда определяется снижение их уровня в содержимом двенадцатиперстной кишки.
Кисту значительных объемов можно выявить уже при первичном осмотре. При объективном исследовании определяется опухолевидное образование в верхней половине живота округлой или овальной формы, с четкими границами и ровной поверхностью. Оно может пальпироваться через переднюю брюшную стенку в эпигастрии, в области пупка, в правом или левом подреберье.
При постановке диагноза используют:
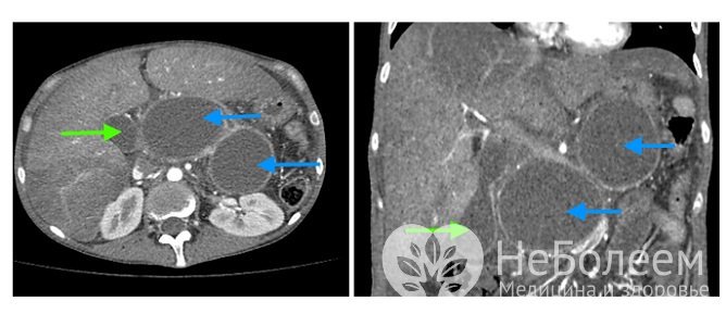
При обзорной рентгенографии органов брюшной полости выявляют оттеснение желудка, поперечной ободочной кишки кпереди и кверху или книзу от обычного положения. КТ и УЗИ помогают обнаружить четко ограниченное и заполненное жидкостью образование, связанное с поджелудочной железой.
При УЗИ доброкачественные панкреатические кисты изолированы от ткани железы гладкой тонкой стенкой, их полость не содержит никаких перегородок, содержимое анэхогенное. Обращает внимание усиление контура дальней стенки и эффект усиления сигнала в тканях позади образования.
Если образование имеет неровные стенки, разрастания по внутренней поверхности капсулы, перегородки в полости, требуется дальнейшее обследование. Для исключения злокачественного перерождения проводят тонкоигольную биопсию стенки и биохимическое исследование ее содержимого.
Компьютерная томография - один из высокоточных методов, применяемых в диагностике панкреатических кистОсновным методом лечения является хирургический. Консервативная тактика применяется при незначительных (до 5-6 см) истинных кистозных образованиях с тонкими (до 1 мм) стенками и отсутствии выраженных клинических проявлений. В этом случае назначается диета, динамическое наблюдение под контролем УЗИ.
Оперативные методики разнообразны.
|
Вид операции |
Показания |
Объем оперативного вмешательства |
|
Энуклеация (вылущивание) |
Крупные истинные кистозные образования, сопровождающиеся симптомами хронического панкреатита или осложнениями. Проводится только при доброкачественных образованиях. |
Удаление новообразования с сохранением окружающих тканей, которые отделяются тупым инструментом, при возможности – рукой. |
|
Дистальная резекция поджелудочной железы |
Множественные кистозные образования тела и хвоста железы |
Удаление образований с частью органа. |
|
Цистоеюностомия –наложение анастомоза (соустья, соединения) между псевдокистой и петлей тощей кишки |
Гигантские псевдокисты головки и тела железы |
Обнажение передней стенки псевдокисты, помещение возле нее петли тощей кишки, выключенной из пассажа, создание соустья. |
|
Трансжелудочная, или чрезжелудочная цистогастростомия – наложение анастомоза между псевдокистой и желудком |
Большие псевдокисты хвостовой части железы |
Создание соустья между псевдокистой и желудком. Несколько дней желудок разгружается через дуоденальный зонд. Пациент получает питание путем внутривенных инфузий питательных веществ. |
|
Трансдуоденальная цистодуоденостомия – наложение анастомоза между псевдокистой и двенадцатиперстной кишкой |
Псевдокисты небольших размеров, локализованные в головке поджелудочной железы |
Создание соустья между полостью псевдокисты и просветом двенадцатиперстной кишки для оттока содержимого. |
|
Марсупиализация – наружное дренирование |
Эхинококковые псевдокисты или псевдокисты, спаянные с соседними органами, удаление которых невозможно без повреждения последних. |
Рассечение, опорожнение полости псевдокисты, подшивание ее стенок к париетальной брюшине и коже, позволяющее полости постепенно заполняться грануляциями и зарубцовываться. |
Какой вариант оперативного дренирования использовать, решают в зависимости от локализации псевдокисты, наличия и степени сращения с окружающими органами. Целью операции является опорожнение содержимого ложной кисты в просвет желудка, тощей или двенадцатиперстной кишки. В последующем происходят заращение полости псевдокисты и практически полное выздоровление при отсутствии морфологических и клинических признаков хронического панкреатита.
В последнее время широко используют пунктирование и наружное дренирование псевдокист под контролем УЗИ и КТ. Если при изучении содержимого выявляется высокая концентрация фермента амилазы, то это указывает на связь полости псевдокисты с выводными панкреатическими протоками.
В отсутствие такой связи возможно поэтапное склерозирование стенок образования специальным раствором, что приводит к асептическому омертвению эпителия стенок и последующему заращению просвета. При наличии сообщения с выводными протоками подобный метод не используется, так как существует возможность попадания склерозирующего раствора в их просвет.
Прогноз зависит от характера образования, его локализации, размеров, наличия осложнений. При своевременном хирургическом лечении, гладком течении послеоперационного периода, доброкачественном виде новообразований прогноз обычно благоприятный.
Наличие опухолевых кистозных новообразований, даже при их удалении, может сопровождаться рецидивами. Прогноз, особенно при злокачественном характере образований, сомнительный. То, сколько будет жить пациент, зависит от целого ряда факторов.
Предлагаем к просмотру видеоролик по теме статьи.

Информация является обобщенной и предоставляется в ознакомительных целях. При первых признаках болезни обратитесь к врачу. Самолечение опасно для здоровья!
Вес человеческого мозга составляет около 2% от всей массы тела, однако потребляет он около 20% кислорода, поступающего в кровь. Этот факт делает человеческий мозг чрезвычайно восприимчивым к повреждениям, вызванным нехваткой кислорода.



