Кровоточивостью десен страдали во все времена, и каждое поколение имело свои методы борьбы с этой проблемой. Например, наши прабабки и прадеды лечили кровоточивость десен народными методами. Конечно, далеко не все из них были действенными.
К счастью, в современное время наука во всех областях, в том числе и в стоматологии, сделала большой шаг вперед. Это относится и к диагностированию и лечению кровоточивости десен. Теперь, чтобы выяснить причину, человеку достаточно просто обратиться к профессиональному стоматологу.
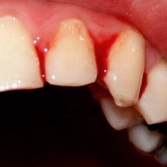
Наверное, каждый сталкивался с кровоточивостью десен. Проблема может быть связана с различными причинами.
Самые распространенные причины кровоточивости десен
Какие же причины могут вызывать кровоточивость десен? Если у вас начали кровоточить десна, очень важно найти верную причину:
Зубная щетка. Обратите внимание на свою зубную щетку. Как давно вы ее меняли? А может она слишком жесткая? Ведь травмировать десны очень легко, достаточно всего лишь одного неловкого движения или нажима.
Зубная паста. Может в зубной пасте, которой вы пользуетесь, содержатся слишком агрессивные компоненты. Благодаря рекламе – двигателю прогресса – многие из нас начали пользоваться отбеливающими пастами, совершенно не подозревая, что в их составе присутствуют вещества, травмирующие десны и зубную эмаль.
Гигиена ротовой полости. Это тоже довольно важный момент. Правильно ли вы чистите зубы? И сколько времени занимает у вас эта процедура? Пользуетесь ли вы ополаскивателем для рта, зубной нитью, полощете ли рот после каждого приема пищи? Важно знать, что не только здоровье ротовой полости зависит от соблюдения этих правил, но и всего вашего организма.
Несбалансированное питание. Люди, привыкшие употреблять преимущественно углеводную пищу, чаще страдают от кровоточивости десен. Это вызвано тем, что при таком питании в организм поступает недостаточное количество витаминов А, С и К, а также таких важных микроэлементов, как кальций и фтор. Таким образом, гипо- или авитаминоз является еще одной распространенной причиной кровоточивости десен.
При кровоточивости десен не помешает также пройти обследование в больнице, так это явление часто встречается в ряде опасных заболеваний:
гингивит;
сахарный диабет;
гемофилия;
пародонтит;
лейкемия;
пародонтоз.
Кроме того, кровоточивость может быть вызвана бесконтрольным приемом некоторых антибактериальных препаратов.
Важно не замалчивать проблему, а как можно раньше обратиться к стоматологу.
Что делать?
Если вы прочитали предыдущий раздел, необходимо теперь сделать соответствующие выводы. Для начала дайте себе несколько дней на исправление ситуации.
Начните тщательнее чистить зубы, полоскать рот, использовать зубную нить, а заодно приобретите и начните принимать поливитаминный комплекс. Соблюдайте сбалансированное питание. Если вы курите, задумайтесь о том, чтобы отказаться от этой вредной привычки. Помимо многочисленных недостатков, она еще и усугубляет состояние ротовой полости. Поменяйте зубную щетку на щетку с мягкой щетиной, купите более щадящую зубную пасту. После каждого приема пищи полощите рот водой.
Если вы ждете ребенка, приобретите в аптеке специальную пасту для беременных (например, прегнадент). У беременных женщин часто встречается проблема кровоточивости десен, так как десны становятся чувствительными и рыхлыми.
Хорошо может помочь массаж десен. Для этого необходимо хорошо вымыть руки с мылом и массировать пальцами десна по направлению от челюсти к зубам. Так кровоснабжение десен улучшается. Но не вздумайте массировать десна жесткой зубной щеткой, это только усугубит ситуацию.
Приобретите в аптеке дубовую кору и сделайте настойку. Эта трава обладает сильным вяжущим действием, что позволяет ее с успехом использовать в стоматологии для полосканий. Можно скомбинировать дубовую кору с календулой или ромашкой. Эти травки обладают антибактериальным действием.
Если вы на протяжении недели выполняли все эти действия и ситуация нисколько не улучшилась – срочно записывайтесь на прием к стоматологу. Не стоит больше экспериментировать. Кроме того, все вышеописанные методы не помогут, если кровотечение из десен было сильным, ваши десна опухли и покраснели, вам трудно из-за этого принимать пищу. В таких случаях нужно не откладывая бежать к врачу, необходимо поставить правильный диагноз и вовремя начать лечение.
Лечение кровоточивости десен
Если вы боитесь походов к стоматологу, то преодолейте свой страх. Никто над вами издеваться не будет. Обычно для лечения кровоточивости десен применяют специальные гели (Холисал или Метрогил Дента). Они обладают антибактериальным и обезболивающим действием и быстро улучшают состояние десен. Также вам могут назначить препараты, усиливающие защитные функции слизистой рта (Имудон).
В стоматологической клинике с целью улучшения состояния десен вам обязательно сделают чистку зубов, избавят от зубных камней, залечат кариозные участки. Ведь только наведя во рту порядок, можно справиться с любой стоматологической проблемой.
Нашли ошибку в тексте? Выделите ее и нажмите Ctrl + Enter.
от кровоточивости хорошо помогает пародонтоцид, состав средств на травах, нет хлоргексидина. помогает не только при кровоточивости, но и если стоят брекеты, от них какие-то раздражения, после удаления зуба хорошо успокаивает пораженное место.
помог лично мне, появлялась периодически кровоточивость, к врачу долго не ходила, но потом все-таки решила пойти, узнать в чем причина. он сказал, что десны слабоватые и витаминов не хватает, вот и назначил мне этот пародонтоцид, пастой чистить, чередовать с обычной пастой... а после удаления зуба - подруга их гелем пользовалась, ранка быстро затянулась.
Спасибо большое, такие отзывы, подтвержденные собственным опытом, наиболее ценны. Уверена, ваш совет пригодится тем, кто столкнулся с проблемой кровоточивости десен.
Во время чихания наш организм полностью прекращает работать. Даже сердце останавливается.
Американские ученые провели опыты на мышах и пришли к выводу, что арбузный сок предотвращает развитие атеросклероза сосудов. Одна группа мышей пила обычную воду, а вторая – арбузный сок. В результате сосуды второй группы были свободны от холестериновых бляшек.
Кариес – это самое распространенное инфекционное заболевание в мире, соперничать с которым не может даже грипп.
Существуют очень любопытные медицинские синдромы, например, навязчивое заглатывание предметов. В желудке одной пациентки, страдающей от этой мании, было обнаружено 2500 инородных предметов.
Для того чтобы сказать даже самые короткие и простые слова, мы задействуем 72 мышцы.
Общеизвестный препарат «Виагра» изначально разрабатывался для лечения артериальной гипертонии.
Работа, которая человеку не по душе, гораздо вреднее для его психики, чем отсутствие работы вообще.
Желудок человека неплохо справляется с посторонними предметами и без врачебного вмешательства. Известно, что желудочный сок способен растворять даже монеты.
В четырех дольках темного шоколада содержится порядка двухсот калорий. Так что если не хотите поправиться, лучше не есть больше двух долек в сутки.
Когда влюбленные целуются, каждый из них теряет 6,4 ккалорий в минуту, но при этом они обмениваются почти 300 видами различных бактерий.
Даже если сердце человека не бьется, то он все равно может жить в течение долгого промежутка времени, что и продемонстрировал нам норвежский рыбак Ян Ревсдал. Его "мотор" остановился на 4 часа после того как рыбак заблудился и заснул в снегу.
В течение жизни среднестатистический человек вырабатывает ни много ни мало два больших бассейна слюны.
Согласно исследованиям, женщины, выпивающие несколько стаканов пива или вина в неделю, имеют повышенный риск заболеть раком груди.
В стремлении вытащить больного, доктора часто перегибают палку. Так, например, некий Чарльз Йенсен в период с 1954 по 1994 гг. пережил более 900 операций по удалению новообразований.
Препарат от кашля «Терпинкод» является одним из лидеров продаж, совсем не из-за своих лечебных свойств.