Воспользуйтесь поиском по сайту:

Круглые сутки во рту каждого человека живут и умирают сотни тысяч бактерий. Продукты их жизнедеятельности скапливаются на зубах в виде налета. При чистке зубов этот налет удаляется, но вновь образуется уже через несколько часов. В течение 2-3 суток он отвердевает и трансформируется в зубной камень. Избавиться от него можно только с помощью профессиональной чистки в стоматологической клинике, поскольку и щетка, и зубная нить в данном случае будут бессильны. В большинстве случаев именно при отсутствии элементарной гигиены ротовой полости у человека начинает развиваться пародонтит, симптомы которого дают о себе знать практически в любом возрасте.
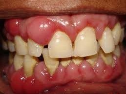
Первое время налет на зубах вызывает небольшое раздражение десен и гингивит, но затем продолжающееся воспаление приводит к образованию «карманов» - пустого пространства между зубами и деснами, которое заполняется бактериями и остатками пищи. Как результат, запущенный, хронический пародонтин приводит к разрушению костной ткани и выпадению зуба.
Кроме зубного камня пародонтит вызывается и некоторыми другими причинами:
Все воспаления пародонта может разделить на острые и хронические. Острый (генерализованный) пародонтит имеет следующие симптомы:
Со временем десны становятся еще более болезненными, отекают, обильно кровоточат при чистке зубов. Кроме того, генерализованный пародонтит дает о себе знать во время приемов пищи, когда остатки еды застревают в «карманах», начинают гнить и вызывают множественные раздражения тканей пародонта. У некоторых больных острая форма способствует повышению температуры тела и появлению общей слабости.
Хронический пародонтит развивается при недолеченной острой форме. Для него характерны те же самые симптомы, но болезнь протекает гораздо более интенсивно. Болевые ощущения бывают настолько сильными, что человек вынужден отказываться от чистки зубов. Тем самым он усугубляет течение заболевания. Также хронический пародонтит характеризуется изменением цвета десен, появлением щелей между зубами, затрудненным жеванием и выпадением отдельных зубов. Глубина «карманов» нередко превышает 5-7 мм. В периоды обострения воспалительного процесса человек чувствует слабость, резкую пульсирующую боль, недомогание. Возможно появление симптомов сердечной недостаточности и выделение гноя на пораженных участках тканей.
Комплекс лечебных мероприятий должен планировать врач-стоматолог. Это значит, что при диагнозе пародонтит лечение народными средствами является дополнительным методом борьбы с болезнью, но никак не заменой хирургических и терапевтических методов.
Если пародонтит был обнаружен на ранней стадии развития, то курс лечения заключается в профессиональной чистке зубов, удалении зубного камня и полировке поверхности зуба. Коронка и корень обрабатываются специальными щеточками, которые обработаны фторсодержащими защитными составами. Отвердевшие зубные отложения удаляются с помощью механической обработки или ультразвука. В особо запущенных случаях врачи используют кюретаж – процедуру снятия отложений посредством особых крючков.

Поскольку и генерализованный пародонтит, и хронический пародонтит относятся к числу инфекционно-воспалительных заболеваний, специалисты обычно назначают больными эффективные антибиотики. Предпочтение отдается тетрациклину или линкомицину. Кроме того, пациенты должны позаботиться об укреплении иммунной системы и повышение защитных сил организма. Для этого применяются как распространенные витаминно-минеральные комплексы, так и специальные средства – иммунокорректоры. Разумеется, лечение пародонтита не обходится без своевременного пломбирования больных зубов, исправления прикуса и коррекции других местных факторов риска.
Рецепты народной медицины могут помочь только на ранних стадиях заболевания. При развитии воспалительного процесса вам следует немедленно обратиться к врачу и не злоупотреблять самолечением. Теперь приведем наиболее распространенные рецепты:
Видео с YouTube по теме статьи:
Информация является обобщенной и предоставляется в ознакомительных целях. При первых признаках болезни обратитесь к врачу. Самолечение опасно для здоровья!
Работа, которая человеку не по душе, гораздо вреднее для его психики, чем отсутствие работы вообще.