Косоглазие лечение, причины, исправление
Меню paxilmic.ru

Косоглазие

Косоглазие

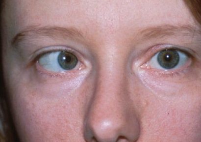
Косоглазие (страбизм, гетеротропия) – это неправильное положение глаз, вызванное нарушением функции глазодвигательных мышц, при котором глаза смотрят в разные стороны.

Каждый из глаз фокусируется в одном направлении, но посылает в мозг отличающиеся изображения, в чем легко может убедиться каждый человек, закрывая поочередно то правый, то левый глаз. В кортикальной части зрительного анализатора мозг объединяет картинки обоих глаз, получая единое трехмерное изображение, - так работает бинокулярное зрение в норме. При косоглазии глаза не фокусируются на одной точке, и изображения получаются настолько разными, что зрительный анализатор не в состоянии слить их в единое изображение.

При косоглазии мозг подавляет изображение, получаемое нездоровым, косящим глазом, и постепенно глаз вообще выключается из процесса зрения. Развивается состояние, называемое амблиопией, проявляющееся в нарастающем снижении зрения из-за подавления функции глаза мозгом. Глаз с подавленной функцией называют амблиопичным, или «ленивым». Этот процесс быстро развивается в случае косоглазия у детей, так как у них мозг очень быстро приспосабливается к изменяющимся условиям. Амблиопия обратима, если принять срочные и энергичные меры, в противном случае глаз может ослепнуть полностью и уже не восстановить свои функции.

У взрослых амблиопия также развивается в случае возникновения косоглазия, но гораздо медленнее. Зрение на поврежденном глазу снижается медленно, но из-за расфокусировки и передачи двух слишком сильно отличающихся изображений, возникает эффект двоения.

Причины косоглазия

Косоглазие может быть врожденным или приобретенным. В первом случае причиной косоглазия является наследственная предрасположенность, врожденные аномалии развития глазодвигательных мышц или заболевания матери во время беременности.

Среди причин косоглазия приобретенного чаще всего называют заболевания центральной нервной системы; травмы, причем как физические, так и психические; ухудшение зрения одного из глаз; перенесенные инфекционные заболевания, являющиеся нередкой причиной косоглазия у детей.

Виды косоглазия

Косоглазие делится на два вида: содружественное и паралитическое.

  • Содружественное косоглазие одинаково проявляется при взгляде во всех направлениях, в нем задействованы оба глаза, при этом оба отклоняются от нормы на одинаковое расстояние. Развивается содружественное косоглазие у детей гораздо чаще, чем у взрослых. Наиболее частой причиной косоглазия в этом случае являются прогрессирующие заболевания глаз.
  • Паралитическое косоглазие вызывается параличом одной из глазодвигательных мышц, возникающим в результате аномалии развития, травмы, заболевания нервной системы или сосудов. В этом случае поражен обычно один глаз. Паралитическое косоглазие у детей и у взрослых встречается одинаково часто.

По характеру отклонения косоглазие бывает:

  • Сходящееся – глаз направлен к переносице
  • Расходящееся – глаз направлен к виску
  • Вертикальное – глаз направлен либо вниз, либо вверх
  • Смешанное – сочетает в себе признаки нескольких форм

По стабильности проявления косоглазие может быть постоянным или периодическим.

Симптомы косоглазия

Главным симптомом косоглазия является внешний вид глаз, видимое косоглазие. Это не всегда достоверный признак, например, косоглазие у детей до года часто бывает мнимым. Мнимое косоглазие связано с особенностями строения глазных щелей у маленьких детей, из-за чего орбиты разворачиваются кнаружи, в результате создается впечатление расходящегося косоглазия. Косоглазие у детей до года истинное можно заподозрить тогда, когда постоянно отклонен один глаз, проявляя признаки паралитического косоглазия, но и это может быть просто вызвано тем, что яркие игрушки все время находятся лишь с одной стороны кроватки.

Помимо видимого отклонения положения одного из глаз, симптомами косоглазия являются  вынужденное положение головы (постоянный наклон в одну сторону или поворот), при котором компенсируется двоение, прищуривание, головные боли и головокружения, а также одностороннее снижение зрения.

Диагностика косоглазия

Диагностика косоглазия проводится во время полного офтальмологического осмотра, в настоящее время для этого используют специальное компьютерное оборудование. Проводят тесты на бинокулярное зрение, проверяют девиацию, рефракцию и подвижность глазных яблок во всех направлениях. При диагностированном косоглазии обязательно неврологическое обследование.

Лечение косоглазия

Лечение косоглазия

Исправление косоглазия в некоторых случаях возможно терапевтическими средствами, но наиболее радикальным и эффективным методом является хирургическое лечение косоглазия. Выбор метода зависит от причины косоглазия, а также от его вида. Из-за риска развития амблиопии и потери зрения на один глаз, что неизбежно повлечет за собой ухудшение зрения и второго, здорового глаза, лечение косоглазия должно быть начато как можно раньше.

Если причина косоглазия в заболевании глаз (миопия, гиперметропия, астигматизм и др.), необходимо лечить в первую очередь данное заболевание. Часто коррекция остроты зрения и меры, принятые по устранению амблиопии являются достаточными для исправления косоглазия, особенно косоглазия у детей, так как в детском возрасте нервная система чрезвычайно восприимчива и легко перестраивается.

Для оптической коррекции применяют ношение специальных очков или линз, заклеивание здорового глаза, что побуждает к активности глаз с нарушениями, специальные упражнения, стимулирующие правильную работу «ленивых» мышц. Корректирующие очки могут успешно применяться даже в случае косоглазия у детей до года. Необходимо знать, что нехирургические методы лечения косоглазия требуют упорного, последовательного и длительного применения, в течение нескольких месяцев или даже лет.

В случае неуспеха консервативных методов исправления косоглазия, а также при некоторых формах, которые не подлежат консервативной коррекции, применяется хирургическое лечение косоглазия. Тип хирургического вмешательства определяется офтальмологом в зависимости от характера заболевания косоглазием. Сама операция проводится обычно под местной анестезией, лишь при косоглазии у детей применяют общий наркоз. Как правило, уже в день операции пациент может быть выписан.

При лечении косоглазия после операции требуется закрепление результата, и все так же необходимы активные мероприятия по тренировке глазодвигательной мышцы, для профилактики или устранения уже имеющейся амблиопии. Таким образом, для устранения косоглазия одного лишь хирургического вмешательства недостаточно, необходим комплексный подход. При таком подходе косоглазие вполне поддается коррекции.

Видео с YouTube по теме статьи:

Информация является обобщенной и предоставляется в ознакомительных целях. При первых признаках болезни обратитесь к врачу. Самолечение опасно для здоровья!

Поделиться:
 
Оцените статью: 4.6944444444444 1 1 1 1 1 1 1 1 1 1 Рейтинг: 5 (18 голосов)
 
Знаете ли вы, что:

Желудок человека неплохо справляется с посторонними предметами и без врачебного вмешательства. Известно, что желудочный сок способен растворять даже монеты.

Читайте также