Катаракта – помутнение хрусталика, которое приводит к снижению зрения, а в некоторых случаях и к полной его утрате. Это заболевание является самой распространенной причиной слепоты, которое лечится при помощи лекарств, а в запущенных формах проводится операция катаракты.
Причинами катаракты глаза являются биологическое старение, воздействие излучения или некоторые заболевания (сахарный диабет). Развитие помутнения хрусталика приводит к появлению или усилению близорукости, при которой улучшается зрение вблизи и ухудшается зрение вдаль.
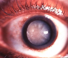
Катаракта может быть частичной или полной, стационарной или прогрессивной, твердой или мягкой. Основными видами возрастной катаракты являются ядерный склероз, корковая катаракта и заднекапсулярная катаракта глаз.
Впервые удаление катаракты было проведено еще 2 столетия тому назад хирургом Жаком Дэвиэлем.
Симптомы катаракты
Симптомы катаракты различны и зависят от типа катаракты. Самыми распространенными симптомами катаракты являются:
Утрата способности различать цвета;
Резкое снижение зрения;
Блики в глазах;
Утрата способности читать или писать без очков;
Окрашивание зрачка в белый цвет (при набухающей катаракте);
Повышенная или пониженная светочувствительность.
Причины катаракты
Наиболее распространенной причиной катаракты является возраст. Денатурация белков хрусталика деградирует с течением времени, и этот процесс ускоряется такими заболеваниями, как диабет и гипертония. С течением времени факторы окружающей среды, включая свет, токсины и радиацию, имеют свойство накапливаться. Эти факторы усугубляют потерю защитных и восстановительных механизмов в связи с изменениями в экспрессии генов и химическими процессами в глазах.
Ультрафиолетовое излучение и микроволны также могут быть причинами катаракты. Прием таких лекарств, как кортикостероиды, кветиапин и антипсихотические препараты, является причиной появления и развития катаракты глаз.
Курение сигарет приводит к двукратному увеличению скорости ядерной катаракты и к склеротическому трехкратному увеличению задней субкапсулярной катаракты.
Причинами катаракты могут быть различные заболевания, в число которых входят:
Дефицит йода;
Нарушения обмена веществ;
Аминоацидурия или синдром Лоу;
Сахарный диабет;
Болезнь Фабри;
Галактоземия;
Гомоцистинурия;
Гиперпаратиреоз;
Гипопаратиреоз;
Гипервитаминоз D;
Гипотиреоз;
Болезнь Вильсона-Коновалова;
Врожденный сифилис;
Краснуха;
Проказа;
Онхоцеркоз;
Токсоплазмоз;
Ветряная оспа;
Аниридия;
Увеит;
Пигментный ретинит.
Лечение катаракты
Операция катаракты начинается с анестезии глаз, осуществляемой при помощи инъекции или простых глазных капель.
Хирургическое лечение катаракты может осуществляться следующими методами:
Экстракапсулярная экстракция катаракты;
Лазерная факоэмульсификация;
Интракапсулярная экстракция катаракты;
Ультразвуковая факоэмульсификация.
Послеоперационный восстановительный период (период после удаления катаракты), как правило, длится недолго. После операции рекомендуется избегать резких движений и напряжений в течение месяца.
Серьезными осложнениями после удаления катаракты являются отслойка сетчатки глаза и эндофтальмит. В обоих случаях происходит внезапное снижение зрения, сопровождаемое болевыми ощущениями. Отслойка сетчатки часто выступает с односторонним дефектом поля зрения, пеленой перед глазами, вспышками света или плавающими пятнами.
Лекарственное удаление катаракты возможно на ранних стадиях заболевания и осуществляется при помощи таких медикаментов как:
Витафакол;
Витайодурол тифосаденин;
Изодибут;
Катахром офтан;
Квинакс;
Сенкаталин;
Тауфон.
Видео с YouTube по теме статьи:
Информация является обобщенной и предоставляется в ознакомительных целях. При первых признаках болезни обратитесь к врачу. Самолечение опасно для здоровья!
Во время чихания наш организм полностью прекращает работать. Даже сердце останавливается.
Вес человеческого мозга составляет около 2% от всей массы тела, однако потребляет он около 20% кислорода, поступающего в кровь. Этот факт делает человеческий мозг чрезвычайно восприимчивым к повреждениям, вызванным нехваткой кислорода.
Существуют очень любопытные медицинские синдромы, например, навязчивое заглатывание предметов. В желудке одной пациентки, страдающей от этой мании, было обнаружено 2500 инородных предметов.
Наши почки способны очистить за одну минуту три литра крови.
Для того чтобы сказать даже самые короткие и простые слова, мы задействуем 72 мышцы.
Многие наркотики изначально продвигались на рынке, как лекарства. Героин, например, изначально был выведен на рынок как лекарство от детского кашля. А кокаин рекомендовался врачами в качестве анестезии и как средство повышающее выносливость.
В нашем кишечнике рождаются, живут и умирают миллионы бактерий. Их можно увидеть только при сильном увеличении, но, если бы они собрались вместе, то поместились бы в обычной кофейной чашке.
Кроме людей, от простатита страдает всего одно живое существо на планете Земля – собаки. Вот уж действительно наши самые верные друзья.
В четырех дольках темного шоколада содержится порядка двухсот калорий. Так что если не хотите поправиться, лучше не есть больше двух долек в сутки.
Кровь человека «бегает» по сосудам под огромным давлением и при нарушении их целостности способна выстрелить на расстояние до 10 метров.
Ученые из Оксфордского университета провели ряд исследований, в ходе которых пришли к выводу, что вегетарианство может быть вредно для человеческого мозга, так как приводит к снижению его массы. Поэтому ученые рекомендуют не исключать полностью из своего рациона рыбу и мясо.
Большинство женщин способно получать больше удовольствия от созерцания своего красивого тела в зеркале, чем от секса. Так что, женщины, стремитесь к стройности.
Когда влюбленные целуются, каждый из них теряет 6,4 ккалорий в минуту, но при этом они обмениваются почти 300 видами различных бактерий.
Работа, которая человеку не по душе, гораздо вреднее для его психики, чем отсутствие работы вообще.
Даже если сердце человека не бьется, то он все равно может жить в течение долгого промежутка времени, что и продемонстрировал нам норвежский рыбак Ян Ревсдал. Его "мотор" остановился на 4 часа после того как рыбак заблудился и заснул в снегу.