Воспользуйтесь поиском по сайту:

Заболевание поражает подслизистую и слизистую оболочки толстого кишечника, вызывает появление незаживающих ранок.
На сегодняшний день нет точных данных о причинах возникновения неспецифического язвенного колита. Главной причиной считается ослабленный иммунитет и неполноценное питание. Также спровоцировать данное заболевание могут инфекции в ЖКТ, глисты, алкоголь, отсутствие личной гигиены, продолжительная антибиотикотерапия.
Симптомы язвенного колита могут отличаться степенью выраженности и локализацией – все зависит от стадии заболевания.
Общие симптомы заболевания: диарея, лихорадка, слабость, рвота, запор, боли в животе, кишечные кровотечения, уменьшение веса, учащение частоты дефекаций до 5-20 р/сутки, в т.ч. в ночное время, повышенная утомляемость.
Могут развиваться и внекишечные симптомы: увеит, узловатая эритема, артрит.
Отмечено также, что заболевание в большинстве случаев начинается и развивается незаметно, и более выраженные симптомы язвенного колита наблюдаются в тяжелых случаях, поэтому важно при первых похожих признаках обратиться за врачебной помощью и при подтверждении диагноза пройти лечение.
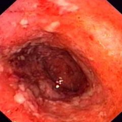
Если язвенный колит протекает в легкой форме, его диагностика проходит без осложнений. И уже при первом обследовании после проведении колоноскопии или ректоскопии ставят диагноз. С помощью этих эндоскопических исследований врач может заметить покраснение слизистой, ее зернистость и отечность, кровоизлияния и отсутствие сосудистого рисунка на стенках кишечника.
Для подтверждения диагноза проводят лабораторные исследования кала, анализ крови на уровень СОЭ, С-реактивного протеина, гемоглобина.
В редких случаях применяют и рентгенологический метод исследования. Особенно полезно это обследование, когда при обнаружении доброкачественных сужений толстой кишки необходимо исключить болезнь Крона.
При тяжелом течении болезни эндоскопия и рентген противопоказаны – ограничиваются лишь снимком брюшной полости.
Лечение язвенного колита назначается медикаментозное. Пациенту прописывают противовоспалительные средства и такие, что восстанавливают иммунную систему. Применяют противовоспалительные препараты системно и местно в виде клизм.
В тяжелых случаях осложнения заболевания образованием свищей в кишечнике и злокачественных опухолей, показано хирургическое лечение язвенного колита – пораженный участок кишечника удаляют.
При тяжелых и среднетяжелых формах заболевания показан постельный режим.

Смысл диеты при язвенном колите – воздерживаться от грубой клетчатки, увеличить поступление белков и ограничить жиры. Если выражена диарея при колите, необходимо ограничить поступление жидкости.
Рекомендуемые продукты: мясо нежирных сортов, вареное и на пару приготовленное, протертые каши, яйца, сухое печенье, белый поджаренный хлеб, фруктовое желе, черемуховый, гранатовый, черносмородиновый, черничный сок или компот, грецкие орехи.
Нельзя есть свежие овощи, фрукты, молочные продукты.
Во время диеты при язвенном колите питаться следует небольшими порциями – около шести раз в день. Ужин должен быть не позже 21.00.
Нежелательно во время лечения принимать антибиотики – эти препараты могут усугубить течение заболевания. Их назначают в крайних случаях.
Для профилактики колита необходимо следить за иммунитетом и питанием, вовремя проходить лечение различных заболеваний ЖКТ, избавляться от глистов, не злоупотреблять алкоголем, соблюдать правила личной гигиены.
Видео с YouTube по теме статьи:
Информация является обобщенной и предоставляется в ознакомительных целях. При первых признаках болезни обратитесь к врачу. Самолечение опасно для здоровья!
Упав с осла, вы с большей вероятностью свернете себе шею, чем упав с лошади. Только не пытайтесь опровергнуть это утверждение.

