Ишемический инсульт – это неотложное состояние, представляющее собой острое нарушение мозгового кровообращения, развившееся по причине снижения или прекращения кровоснабжения какой-либо области головного мозга. Как правило, на фоне инсульта развивается некроз заинтересованного участка.
Ишемический инсульт – это острое нарушение мозгового кровообращения
Ишемический инсульт – чрезвычайно распространенная патология, в развитых странах в структуре смертности он располагается на 3-м месте после сердечно-сосудистой патологии и злокачественных новообразований. В России ежегодно регистрируется около 450 тысяч случаев инсульта (более 3-х случаев на 1000 населения).
Первые описания заболевания встречаются еще в трудах Гиппократа под названием «апоплексия» (греч. ἀποπληξία – удар), однако вовлечение в патологический процесс сосудов, кровоснабжающих ткани мозга, было подтверждено только в 19-м веке. Полноценная классификация острых нарушений мозгового кровообращения, когда ишемический инсульт был выделен в отдельную категорию, появилась в 1928 году.
Ишемический инсульт напрямую связан с нарушением проходимости сосудов, питающих ткани мозга, на фоне чего в вовлеченных областях возникает острая нехватка кислорода и глюкозы, развиваются необратимые изменения (нейроны сохраняют жизнеспособность в течение 6-8 минут при условии снижения объема кровотока на поврежденном участке до 10-15 мл на 100 г мозгового вещества в минуту).
Необратимо поврежденная зона носит название ядерной или сердцевинной ишемии, терапевтическое воздействие на данную область не имеет перспектив. По периферии центрального участка располагается структурно неизмененная зона так называемой ишемической полутени или пенумбра (объем кровотока 20 мл и более на 100 г в минуту), где на протяжении нескольких часов после неврологической катастрофы поддерживается минимальный уровень жизнеспособности.
Смертность от ишемического инсульта составляет 1,23 случая на 1000 человек в год. В первый месяц погибает около 25% пациентов.
Зона пенумбры с критически низким уровнем кровоснабжения может быть спасена проведением неотложной терапии в первые 3–6 часов. В противном случае энергетический и белковый метаболизм в ней прекращается, и следом за функциональной перестройкой развиваются структурные изменения, происходит некроз тканей мозга поврежденной области.
Причины и факторы риска
Пусковым фактором развития ишемического инсульта является прекращение поступления крови к определенному участку мозга из-за нарушения проходимости питающих артерий или изменения гемодинамики, в чем заключается его принципиальное отличие от геморрагического инсульта, когда происходит разрыв сосуда с последующим кровотечением.
Наиболее частые причины ишемии головного мозга:
атеросклеротическая болезнь сосудов головного и спинного мозга среднего и крупного калибра;
тромбоэмболии;
критическое снижение артериального давления (АД);
аномалия сосудистой системы мозга;
септальный стеноз артерий;
поражение перфорантных артерий мелкого калибра;
выраженные изменения в системе свертывания.
Высокий уровень холестерина – один из факторов риска ишемического инсульта
Факторы риска ишемического инсульта:
пожилой возраст (риск вероятности развития ишемического инсульта у пациентов 65–75 лет в среднем в 6 раз выше, чем у пациента 40–50 лет);
гиперхолестеринемия;
сахарный диабет (повышение риска максимально в 4 раза);
транзиторные ишемические атаки (ТИА) в прошлом (практически у половины пациентов, перенесших ТИА в течение 5 лет, развивается ишемический инсульт);
курение (повышение риска максимально в 4 раза);
гиповолемия;
ишемическая болезнь сердца (повышение риска максимально в 4 раза);
резкая брадикардия;
клапанные пороки сердца;
мерцательная аритмия (повышение риска приблизительно в 5 раз);
септический эндокардит;
острая массивная кровопотеря;
коагулопатии;
васкулиты;
артериальная гипертензия (повышение риска приблизительно в 5 раз).
Формы заболевания
В зависимости от патогенеза выделяют следующие типы ишемического инсульта:
атеротромботический – развивается на фоне сужения просвета сосудов атеросклеротическими массами;
кардиоэмболический – закупорка артерий тромбом, образовавшимся в полостях сердца;
гемодинамический – обеднение мозгового кровотока по причине критического снижения АД;
лакунарный – на ограниченном участке, кровоснабжаемом мелкой перфорантной артерией, вследствие ее повреждения при резких перепадах АД;
по типу микроокклюзии – усиленная агрегация тромбоцитов в сочетании с повышенной вязкостью крови.
В России ежегодно регистрируется около 450 тысяч случаев ишемического инсульта (более 3-х случаев на 1000 населения).
В зависимости от локализации патологического очага:
в каротидном бассейне (внутренняя сонная артерия, передняя или средняя мозговые артерии);
в вертебробазилярном бассейне (позвоночные и базилярные артерии, мозжечок, задняя мозговая артерия, таламические структуры);
левосторонний;
правосторонний.
По зоне поражения:
территориальный – развивается в зоне кровоснабжения одной из основных крупных артерий, как правило, обширный;
водораздельных зон – в местах стыковки областей кровоснабжения нескольких артерий, чаще средних размеров;
лакунарный – в зонах, кровоснабжаемых мелкими перфорантными артериями.
Симптомы
Признаки ишемического инсульта можно распределить в 2 большие группы: общемозговые и очаговые проявления.
Общемозговые симптомы:
резкая головная боль, головокружение;
тошнота, рвота;
судороги;
вегетативные нарушения (потливость, сердцебиение, чувство жара, учащенное дыхание, парестезии).
В течение 5 лет рецидив ишемического инсульта отмечается у трети пациентов.
Очаговая симптоматика:
ограничение движения (параличи, парезы) конечностей;
нарушения зрения («мушки», светящиеся полосы, цветные пятна перед глазами, снижение остроты зрения, двоение, выпадение полей зрения, в тяжелых случаях – полная слепота);
нарушение схемы тела;
парез взора;
шаткость походки;
полная или частичная утрата речи, дизартрия, нарушения навыков чтения и письма;
затруднение или невозможность совершать целенаправленные действия, сложные двигательные акты;
дезориентация во времени и месте;
спутанность сознания; контакт невозможен или затруднен;
бред, галлюцинации;
нарушения поведения (ажитация, нецеленаправленное возбуждение или, напротив, апатия, безучастность);
нарушения памяти различного характера; и т. д.
Один из симптомов ишемического инсульта – парезы и параличи мускулатуры лица
Набор очаговых симптомов характерен для конкретной локализации зоны ишемии, обширности поражения, наличия сопутствующих отягчающих факторов.
Диагностика ишемического инсульта основывается на всесторонней оценке данных объективного и инструментальных методов исследования:
неврологический осмотр;
УЗ-исследование артерий головы и шеи;
компьютерная и магниторезонансная томография;
ангиография;
транскраниальная ультразвуковая допплерография;
электроэнцефалографическое исследование.
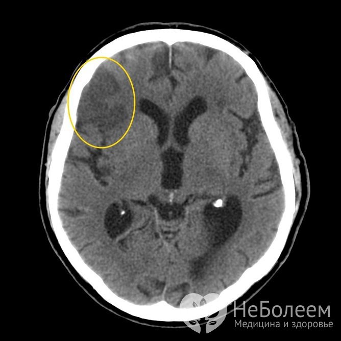
Ишемический инсульт на КТ
Лечение
Лечение ишемического инсульта проводится по нескольким направлениям:
восстановление кровоснабжения зон гипоперфузии (поддержание системной гемодинамики, медикаментозный тромболизис, антикоагулянтная и антиагрегантная терапия, хирургические методы рециркуляции: наложение микроанастомозов, тромбэктомия, реконструктивные операции на артериях);
нейропротекция тканей мозга от повреждающих воздействий токсических метаболитов;
нормализация функции внешнего дыхания (санация бронхиального дерева, установка воздуховода, гипербарическая оксигенация, в случае необходимости – ИВЛ);
нормализация деятельности сердечно-сосудистой системы;
контроль и регуляция гомеостаза (уровня глюкозы, водно-солевого баланса);
К полноценной трудовой и социальной активности после перенесенного ишемического инсульта возвращаются не более 1/5 пациентов.
Возможные осложнения и последствия
Осложнениями ишемического инсульта могут стать:
гипостатическая пневмония;
респираторный дистресс-синдром;
пролежни;
присоединение вторичной инфекции, сепсис;
флеботромбозы нижних конечностей;
гипоксическая язва желудка;
вторичное кровоизлияние;
отек головного мозга с нарушением дыхательной и сердечной деятельности;
тромбоэмболия легочной артерии;
эпистатус;
гипертензионно-ликворный синдром;
отек легких;
кома, летальный исход.
Прогноз
Смертность от ишемического инсульта составляет 1,23 случая на 1000 человек в год. В первый месяц погибает около 25% пациентов. Отмечено, что чем более выражен неврологический дефицит по итогам первого месяца заболевания, тем меньше шансов на восстановление качества жизни. В течение 5 лет рецидив ишемического инсульта отмечается у трети пациентов.
Приблизительно 30% пациентов, перенесших неврологическую катастрофу, нуждаются в посторонней помощи, а 20% не могут самостоятельно передвигаться. К полноценной трудовой и социальной активности возвращаются не более 1/5 пациентов.
Профилактика
Модификация образа жизни, отказ от вредных привычек.
Снижение избыточной массы тела.
Контроль хронических заболеваний.
Адекватный режим физической активности.
Своевременная терапия гипертонической болезни.
Антитромбоцитарная терапия.
Регулярный прием гиполипидемических средств (статинов).
Видео с YouTube по теме статьи:
Об авторе
Олеся СмольняковаТерапия, клиническая фармакология и фармакотерапияОб авторе
Образование: высшее, 2004 г. (ГОУ ВПО «Курский государственный медицинский университет»), специальность «Лечебное дело», квалификация «Врач». 2008-2012 гг. – аспирант кафедры клинической фармакологии ГБОУ ВПО «КГМУ», кандидат медицинских наук (2013 г., специальность «фармакология, клиническая фармакология»). 2014-2015 гг. – профессиональная переподготовка, специальность «Менеджмент в образовании», ФГБОУ ВПО «КГУ».
Информация является обобщенной и предоставляется в ознакомительных целях. При первых признаках болезни обратитесь к врачу. Самолечение опасно для здоровья!
Когда влюбленные целуются, каждый из них теряет 6,4 ккалорий в минуту, но при этом они обмениваются почти 300 видами различных бактерий.
На лекарства от аллергии только в США тратится более 500 млн долларов в год. Вы все еще верите в то, что способ окончательно победить аллергию будет найден?
Самая высокая температура тела была зафиксирована у Уилли Джонса (США), который поступил в больницу с температурой 46,5°C.
По статистике, по понедельникам риск получения травм спины увеличивается на 25%, а риск сердечного приступа – на 33%. Будьте осторожны.
Для того чтобы сказать даже самые короткие и простые слова, мы задействуем 72 мышцы.
В стремлении вытащить больного, доктора часто перегибают палку. Так, например, некий Чарльз Йенсен в период с 1954 по 1994 гг. пережил более 900 операций по удалению новообразований.
Средняя продолжительность жизни левшей меньше, чем правшей.
Препарат от кашля «Терпинкод» является одним из лидеров продаж, совсем не из-за своих лечебных свойств.
Американские ученые провели опыты на мышах и пришли к выводу, что арбузный сок предотвращает развитие атеросклероза сосудов. Одна группа мышей пила обычную воду, а вторая – арбузный сок. В результате сосуды второй группы были свободны от холестериновых бляшек.
В течение жизни среднестатистический человек вырабатывает ни много ни мало два больших бассейна слюны.
Существуют очень любопытные медицинские синдромы, например, навязчивое заглатывание предметов. В желудке одной пациентки, страдающей от этой мании, было обнаружено 2500 инородных предметов.
Упав с осла, вы с большей вероятностью свернете себе шею, чем упав с лошади. Только не пытайтесь опровергнуть это утверждение.
Согласно исследованиям, женщины, выпивающие несколько стаканов пива или вина в неделю, имеют повышенный риск заболеть раком груди.
74-летний житель Австралии Джеймс Харрисон становился донором крови около 1000 раз. У него редкая группа крови, антитела которой помогают выжить новорожденным с тяжелой формой анемии. Таким образом, австралиец спас около двух миллионов детей.
Большинство женщин способно получать больше удовольствия от созерцания своего красивого тела в зеркале, чем от секса. Так что, женщины, стремитесь к стройности.