Эхинококкоз – это хроническое гельминтозное заболевание, которое вызывается ленточным червем экинококком. Болеют не только люди, но и животные. Чаще всего заражение эхинококкозом происходит после контактов с собаками или во время стрижки овец. Особенности механизма передачи определяют повсеместную распространенность инфекции. В нашей стране она встречается во всех регионах, но наибольшее количество заболевших выявляется в областях с развитым животноводством.
Возбудители инфекции и механизмы развития болезни
Ленточные черви паразитируют в кишечниках овец, собак и грызунов. Там они откладывают яйца, которые затем попадают во внешнюю среду с фекалиями животных. Яйца гельминтов проникают в организм человека при несоблюдении правил личной гигиены и необходимого уровня санитарии, причем при диагнозе эхинококкоз симптомы инфекции могут проявляться в самых разных органах. Главная опасность эхинококкоза заключается том, что с кровью гельминты разносятся по всем жизненно важным системам и превращаются в финны – кисты, в которых происходит окончательное формирование паразита. По мере того, как растут возбудители эхинококкоза, финны также увеличиваются в размерах и начинают сдавливать близлежащие ткани, нарушая нормальное функционирование органов. Чаще всего кисты обнаруживаются в печени (эхинококкоз печени) и в легких. Иногда они поражают головной мозг.
Как проявляет себя эхинококкоз, симптомы заболевания
В большинстве случаев эхинококкоз протекает абсолютно бессимптомно. Нередко складывается ситуация, когда обнаружить эхинококкоз у детей и взрослых удается лишь при профилактических рентгенологических и ультразвуковых исследованиях. Если же гельминты прогрессируют до стадии кист, то они начинают сдавливать соседние органы и ткани. На этом этапе симптомы эхинококкоза проявляются более ярко. У пациентов наблюдаются различные симптомы, зависящие от места локализации финн. Так, к примеру, эхинококкоз печени сопровождается:
болями в правом подреберье;
чувством тяжести в правой части тела;
давлением на печень;
слабостью;
постоянным недомоганием;
быстрой утомляемостью даже при незначительных физических нагрузках;
снижением двигательной активности;
аллергическими реакциями (проявляются не всегда);
пожелтением кожных покровов.
Легочная форма эхинококкоза приводит к возникновению болей в грудной клетке, кашля, одышки. Если у человека развивается эхинококкоз головного мозга симптомы имеют неврологическую природу. Чаще всего пациенты страдают от параличей, парезов, судорожных припадков и психических расстройств.
Диагностика эхинококкоза
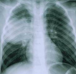
Наличие гельминтов в организме человека подтверждается с помощью визуализирующих лабораторных методов исследования. Как правило, врачи используют для этого рентген, МРТ, КТ и УЗИ. Ранее, наряду с перечисленными методиками, применялась и пункционная биопсия кисты, однако, в наши дни ее считают опасной, поскольку в ходе процедуры может произойти распространение паразитов в окружающие органы и ткани. Также для диагностики эхинококкоза не используются иммунологические методы, что связано с их низкой информативностью.
Лечение эхинококкоза
Выбор методики лечения эхинококкоза зависит от места локализации гельминтов, общего состояния больного и клинической картины развития инфекции. В большинстве случаев принимается решение о хирургическом вмешательстве, если, конечно, оно не несет угрозы для жизни пациента. В ходе операции производится удаление кисты с последующим ушиванием полости, оставшейся после выемки образования.
Профилактика эхинококкоза
При профилактике эхинококкоза необходимо соблюдать следующие правила:
не разрешать маленьких детям играть с собаками;
мыть руки после работы на огороде, перед едой, после свежевания овец и снятия шкур животных;
регулярно проводить профилактические обследования домашних собак, регистрировать их в ветеринарных учреждениях;
обрабатывать продукты питания перед употреблением в пищу;
не пить сырую воду из открытых водоемов и городской системы водоснабжения;
проводить забой крупного рогатого скота в специально предназначенных для этого местах;
если ваша работа связана с животными, то необходимо регулярно сдавать анализы на эхинококкоз.
Как видите, правила действительно просты, но их соблюдение позволит предотвратить не только эхинококкоз, но и многие другие болезни желудочно-кишечного тракта.
Видео с YouTube по теме статьи:
Информация является обобщенной и предоставляется в ознакомительных целях. При первых признаках болезни обратитесь к врачу. Самолечение опасно для здоровья!
Во время работы наш мозг затрачивает количество энергии, равное лампочке мощностью в 10 Ватт. Так что образ лампочки над головой в момент возникновения интересной мысли не так уж далек от истины.
Печень – это самый тяжелый орган в нашем теле. Ее средний вес составляет 1,5 кг.
Вес человеческого мозга составляет около 2% от всей массы тела, однако потребляет он около 20% кислорода, поступающего в кровь. Этот факт делает человеческий мозг чрезвычайно восприимчивым к повреждениям, вызванным нехваткой кислорода.
Согласно мнению многих ученых, витаминные комплексы практически бесполезны для человека.
Для того чтобы сказать даже самые короткие и простые слова, мы задействуем 72 мышцы.
При регулярном посещении солярия шанс заболеть раком кожи увеличивается на 60%.
На лекарства от аллергии только в США тратится более 500 млн долларов в год. Вы все еще верите в то, что способ окончательно победить аллергию будет найден?
Желудок человека неплохо справляется с посторонними предметами и без врачебного вмешательства. Известно, что желудочный сок способен растворять даже монеты.
Средняя продолжительность жизни левшей меньше, чем правшей.
Самая высокая температура тела была зафиксирована у Уилли Джонса (США), который поступил в больницу с температурой 46,5°C.
Американские ученые провели опыты на мышах и пришли к выводу, что арбузный сок предотвращает развитие атеросклероза сосудов. Одна группа мышей пила обычную воду, а вторая – арбузный сок. В результате сосуды второй группы были свободны от холестериновых бляшек.
У 5% пациентов антидепрессант Кломипрамин вызывает оргазм.
В течение жизни среднестатистический человек вырабатывает ни много ни мало два больших бассейна слюны.
В нашем кишечнике рождаются, живут и умирают миллионы бактерий. Их можно увидеть только при сильном увеличении, но, если бы они собрались вместе, то поместились бы в обычной кофейной чашке.
Ученые из Оксфордского университета провели ряд исследований, в ходе которых пришли к выводу, что вегетарианство может быть вредно для человеческого мозга, так как приводит к снижению его массы. Поэтому ученые рекомендуют не исключать полностью из своего рациона рыбу и мясо.