Воспользуйтесь поиском по сайту:
Содержание статьи:
Атония кишечника — патологическое состояние толстого кишечника, обусловленное низким тонусом гладкой мускулатуры кишечных стенок, которое приводит к замедлению либо полному исчезновению перистальтических движений при норме 15–18 сокращений в минуту. Основным проявлением атонии кишечника служат частые длительные запоры, с которыми трудно справиться обычными слабительными средствами.
При атонии кишечника наблюдается низкий тонус его гладкой мускулатурыЧаще всего атония кишечника развивается на фоне общей слабости мышц и нарушения проводимости импульсов, под влиянием которых происходит сокращение гладкой мускулатуры кишечной стенки при малоподвижном образе жизни, после полостных операций, длительном соблюдении постельного режима.
Еще одна распространенная причина атонических запоров – несбалансированное питание, в особенности нехватка клетчатки и других грубых волокон в рационе на фоне избытка калорий, а также несоблюдение водного режима. Систематическое недополучение жидкости компенсируется активным всасыванием влаги, что приводит к уплотнению каловых масс. Образование большого количества токсичных соединений при гнилостном распаде непереваренных остатков пищи, в свою очередь, препятствует восприятию импульсов мышечными клетками. Иногда перемещению каловых масс ограничивают механические препятствия: дивертикулы, дополнительные карманы толстой кишки, спайки, копролиты (каловые камни), новообразования, сдавливание стенки прямой кишки другими органами и т. д.
Частой причиной атонических запоров является употребление пищи, обедненной клетчаткойТакже к развитию атонии кишечника причастен ряд факторов, оказывающих влияние на процессы нейрогуморальной регуляции функций ЖКТ:
Иногда склонность к атоническим запорам носит наследственный характер. Случаи атонии кишечника у близких родственников – повод задуматься о профилактике.
В зависимости от степени угнетения моторно-эвакуаторной функции толстого кишечника, различают полную и частичную формы атонии кишечника. Наиболее распространена частичная атония кишечника – замедление и ослабление перистальтических движений, которое приводит к хроническим запорам. Полная атония кишечника характеризуется абсолютным отсутствием перистальтики и паралитической кишечной непроходимостью.
Основным проявлением атонии кишечника служат частые длительные запоры, с которыми трудно справиться обычными слабительными средствами.
Если на фоне задержки стула и газов наблюдаются острые боли в животе, есть основания заподозрить хирургическую патологию – дивертикулез, заворот кишок, инфаркт кишечника и другие патологические состояния, угрожающие жизни пациента. Больного следует как можно скорее доставить в лечебное учреждение.
Специфическим признаком атонии кишечника выступают хронические запоры, которые отличаются длительным и упорным течением. В отдельных случаях развивается «синдром ленивого кишечника», при котором пациент не в состоянии испражниться самостоятельно.
Запором в данном случае считается не только длительная задержка стула, при которой дефекация отсутствует в течение двух и более дней. Вероятные симптомы атонии кишечника при регулярном стуле достаточно разнообразны:
Главным признаком атонии кишечника являются хронические запорыПри отсутствии стула более трех суток развивается воспаление слизистой оболочки толстого кишечника, препятствующее всасыванию питательных веществ. Параллельно нарушается оптимальный баланс кишечной микрофлоры: активное размножение гнилостных бактерий угнетает жизнедеятельность полезных микроорганизмов. Как следствие, проявляются признаки нарушения пищеварения и общей интоксикации организма, вызванной всасыванием токсичных продуктов гниения кишечного содержимого:
Постоянные запоры, вызванные атонией кишечника, серьезно ухудшают качество жизни пациента. Больные становятся вялыми и апатичными либо, напротив, раздражительными и обидчивыми, эмоциональная лабильность пациента препятствует полноценному общению и общественной жизни.
Интоксикация организма при длительных запорах проявляется особенно ярко у детей и пожилых людей: возможно повышение температуры тела до 37 °C и более, появление тошноты и рвоты. У лиц преклонного возраста резко повышается артериальное давление.
Атония кишечника широко распространена в старших возрастных группах. Тенденция к мышечной атрофии – одно из проявлений старения, к тому же пожилые люди, как правило, ведут малоподвижный образ жизни, а возможности диетотерапии для престарелых ограничены. В частности, не рекомендуется увеличивать потребление клетчатки, не посоветовавшись с врачом, так как при застарелых запорах употребление большого количества грубоволокнистой пищи может ухудшить состояние пациента.
Атонические запоры, впервые проявившиеся в преклонном возрасте, иногда являются следствием патологического удлинения сигмовидной кишки или склеротических изменений в брыжеечных артериях, которые могут привести к мезентериальному тромбозу. Для исключения хирургической и сосудистой патологии при атонии кишечника у пожилых людей обязательна консультация хирурга-флеболога и проктолога.
У ребенка атонические запоры могут быть связаны с отнятием от груди или стрессамиУ маленьких детей атонические запоры нередко случаются при резкой перемене режима питания при отнятии от груди, а также на психогенной почве. При этом атонию кишечника необходимо дифференцировать с кишечной непроходимостью и врожденными аномалиями строения толстой кишки.
Для предотвращения «синдрома ленивого кишечника» назначать слабительные препараты и применять клизмы детям следует с большой осторожностью и только по назначению врача. Средства раздражающего действия противопоказаны маленьким пациентам; обычно назначают осмотические препараты на основе лактулозы и глицериновые свечи, стимулирующие рефлекторное опорожнение кишечника.
Читайте также:6 причин обогатить рацион клетчаткой
5 симптомов, при которых необходимо обратиться к эндокринологу
Атония кишечника диагностируется терапевтом или гастроэнтерологом на основании данных анамнеза, изучения режима питания и образа жизни пациента и клинической картины. Для выявления причин ослабления тонуса кишечных стенок и разработки наиболее эффективной терапевтической стратегии необходимо комплексное обследование кишечника с применением инструментальных и лабораторных методик.
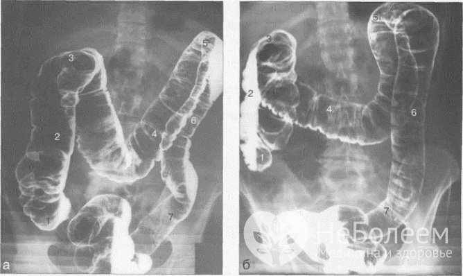
Наиболее информативным методом исследования моторной функции толстого кишечника представляется ирригоскопия – контрастная рентгенография толстой кишки после бариевой клизмы, качественно визуализирующая труднодоступные участки кишечника, недоступные для колоноскопии (складки слизистой оболочки, изгибы ободочной и сигмовидной кишки и т. д.). При подозрении на перфорацию или непроходимость толстой кишки вместо бариевой взвеси вводят водорастворимый контрастный препарат. После опорожнения кишечника проводится исследование рельефа слизистой оболочки толстой кишки. При необходимости для лучшей визуализации внутренней стенки кишечника в просвет кишки нагнетается кислород.
Ирригоскопия – наиболее информативный метод диагностики атонии кишечникаЭндоскопическое исследование толстой кишки с отбором биоптата целесообразно для дифференциальной диагностики с онкопатологией, болезнью Крона и другими заболеваниями, характеризующимися специфическими изменениями кишечного эпителия.
Чаще всего атония кишечника развивается на фоне общей слабости мышц и нарушения проводимости импульсов, под влиянием которых происходит сокращение гладкой мускулатуры кишечной стенки при малоподвижном образе жизни, после полостных операций, длительном соблюдении постельного режима.
Развернутый анализ кала (копрограмма) дает исчерпывающие сведения о состоянии секреторно-резорбтивной функции кишечника и гепатобилиарной системы. При выраженной симптоматике кишечного дисбиоза показан бактериологический посев кала; для исключения паразитарной инвазии проводятся исследования фекалий на гельминтозы и протозойные заболевания.
Первым шагом к восстановлению нормальной моторики кишечника должна стать коррекция питания. При атонических запорах показана изучения режима питания и образа жизни пациента лечебная диета №3: основа рациона молочно-растительная, при этом из меню необходимо исключить вяжущие стимулирующие газообразование продукты, а также снизить калорийность блюд. В первую очередь под запрет попадают наваристые супы, мясные и рыбные копчености и консервы, грибы, бобовые, цельное молоко, яйца вкрутую, крепкий чай и кофе, а также некоторые плоды и ягоды – кизил, черника, груши, гранат, капуста, редька, лук и чеснок. Для восполнения дефицита клетчатки и пектиновых веществ в меню включают пшеничные отруби, хлеб грубого помола, гречневую кашу, свежие фрукты и овощи, растительные масла и бахчевые культуры. Особенно полезны абрикосы, сливы, дыни, яблоки, ревень и морская капуста, обладающие мягким послабляющим действием.
Коррекция питания – первый шаг к восстановлению моторики кишечникаВдобавок придется серьезно ограничить потребление быстрорастворимых углеводов – шоколада, белого хлеба, сдобной выпечки и кондитерских изделий. Сладкие газированные напитки и промышленные соки рекомендуется заменять водой, компотом и морсами; при этом следует выпивать не менее 1,5–2 литров жидкости в сутки. Нормализации перистальтики также способствует дробный режим питания с приемом пищи в одно и то же время.
Увеличение двигательной активности поможет быстро наладить стул у пациентов, ведущих сидячий образ жизни. Хороший эффект при атонии кишечника дают занятия спортивной ходьбой, плаванием, танцами и йогой, а также выполнение специальных упражнений для мышц брюшной стенки и массаж живота.
Медикаментозное лечение атонии кишечника предполагает применение только мягких слабительных. Предпочтение отдается препаратам осмотического и прокинетического действия и желчегонным средствам. По показаниям в терапевтическую схему могут быть включены ингибиторы холинэстеразы; при сильных болях в животе дополнительно назначают спазмолитики. С целью предотвращения кишечного дисбиоза использование клизм при атонии кишечника не рекомендуется; допустимо применение масляных свечей и микроклизм, облегчающих эвакуацию каловых масс.
Иногда склонность к атоническим запорам носит наследственный характер. Случаи атонии кишечника у близких родственников – повод задуматься о профилактике.
При выраженной интоксикации целесообразно проведение дезинтоксикационной терапии и глубокого промывания кишечника посредством гидроколонотерапии, субаквальных ванн и кишечных орошений. При выявлении кишечной непроходимости, новообразований и анатомических аномалий кишечника может потребоваться хирургическое вмешательство.
Профилактика атонии кишечника не представляет сложности. Достаточно вести активный образ жизни, контролировать массу тела, отказаться от вредных привычек, по возможности избегать стрессов и следить за питанием, не допуская дефицита балластных веществ, витаминов и минералов. При этом важно принимать пищу небольшими порциями по 5–6 раз в день, придерживаться оптимального питьевого режима и не допускать больших интервалов между приемами пищи.
В целях предотвращения кишечного дисбиоза не стоит принимать антибиотики, не посоветовавшись с врачом. Детей желательно приучить к посещению туалета в одно и то же время и не подавлять позывы на дефекацию из ложного стыда в школе или детском саду.
Постоянные запоры, вызванные атонией кишечника, серьезно ухудшают качество жизни пациента. Больные становятся вялыми и апатичными либо, напротив, раздражительными и обидчивыми, эмоциональная лабильность пациента препятствует полноценному общению и общественной жизни. Внешность больного также оставляет желать лучшего: ухудшается цвет лица, появляются высыпания на коже и неприятный запах изо рта, могут обостриться кожные заболевания.
Гнилостные процессы, обусловленные копростазом, нарушают баланс микрофлоры кишечника и угнетают иммунную систему, провоцируют аллергические и атопические состояния, а из-за нарушения процесса всасывания в кишечнике у лиц, склонных к атоническим запорам, часто отмечаются авитаминозы и железодефицитная анемия. В отсутствие адекватного лечения на фоне атонии кишечника может развиться кишечная непроходимость, вызывающая тяжелую интоксикацию организма.
Видео с YouTube по теме статьи:

Информация является обобщенной и предоставляется в ознакомительных целях. При первых признаках болезни обратитесь к врачу. Самолечение опасно для здоровья!
Даже если сердце человека не бьется, то он все равно может жить в течение долгого промежутка времени, что и продемонстрировал нам норвежский рыбак Ян Ревсдал. Его "мотор" остановился на 4 часа после того как рыбак заблудился и заснул в снегу.

