Воспользуйтесь поиском по сайту:
Содержание статьи:
Артроз – собирательное название дистрофически-дегенеративных заболеваний суставного аппарата разной локализации и этиологии, имеющих при этом сходную клиническую и морфологическую картину и исход и проявляющихся поражением суставных хрящей, субхондральных костных образований, капсул, связочного аппарата.
Изменения сустава при артрозеАртроз – наиболее распространенная патология в ревматологической практике, по данным медицинской статистики им страдает до 1/5 части всего населения. Артроз является причиной значимого снижения качества жизни приблизительно у половины пациентов, большая часть из которых инвалидизируется. Заболеваемость напрямую зависит от возраста: артроз редко встречается в молодом возрасте, дебютирует чаще всего после 40-45 лет, при этом у лиц старше 70 лет рентгенологические признаки определяются в подавляющем большинстве случаев. В молодом возрасте частота встречаемости приблизительно 6,5%, после 45 лет – 14-15%, после 50 лет – 27-30%, у лиц старше 70 лет – от 80 до 90%.
Наиболее часто при артрозе в патологический процесс вовлекаются мелкие суставы кисти (у женщин в 10 раз чаще, чем у мужчин), большого пальца стопы, межпозвонковые сочленения грудного и шейного отделов позвоночника, а также коленный и тазобедренный суставы. Артроз коленного и тазобедренного суставов занимает ведущее место по степени тяжести клинических проявлений и отрицательному влиянию на качество жизни.
Для артроза характерно комплексное поражение суставного и вспомогательного аппаратов:
Поскольку первопричиной артроза являются воспалительные изменения, в ряде западных стран принято называть заболевание артритом (от лат. -itis – суффикса, обозначающего острый воспалительный процесс). В российской медицине термины артрит и артроз встречаются одинаково часто и подразумевают один и тот же патологический процесс. В последнее время в ревматологической практике наиболее часто применяется термин «остеоартроз» (от др.-греч. ὀστέον – кость, ἄρθρον – сустав), подчеркивающий вовлечение в патологический процесс не только собственно сустава, как подвижного соединения, но и формирующих его костных образований.
Впервые выделение дегенеративно-дистрофических поражений суставов в отдельную группу было предложено в 1911 г. Мюллером («arthrosis deformans»). Все последующие годы артроз было принято рассматривать как хроническое прогрессирующее невоспалительное поражение суставов неизвестной этиологии, проявляющееся дегенерацией суставного хряща и структурными изменениями субхондральной кости в сочетании с явным или скрытым умеренно выраженным синовитом. Подчеркивалась четкая связь заболевания со старением, что косвенно доказывалось приростом случаев диагностирования артрозов по мере увеличения возраста пациентов.
Последствиями артроза в отсутствие адекватного лечения, становятся прогрессивное уменьшение объема движений в пораженном суставе, обездвиживание.
В настоящее время подход к пониманию артроза кардинально изменился: заболевание рассматривается как агрессивный процесс разрушения хрящевой ткани сустава под воздействием воспаления, что требует обязательной активной противовоспалительной терапии.
Синонимы: артрит, остеоартрит, остеоартроз, деформирующий остеоартроз.
В научном сообществе ведется полемика по поводу первопричины поражения суставов. Некоторые исследователи отводят основную роль повреждению хрящевого покрытия суставных поверхностей под воздействием разнообразных факторов, что ведет к нарушению биомеханики сустава и дистрофическим изменениям окружающих его структур. Другие же, напротив, видят первопричину в поражении поверхностного слоя сочленяющихся костных структур, формирующих сустав (например, вследствие нарушения микроциркуляции), а вторичными изменениями считают дистрофию и дегенерацию хряща.
Более состоятельной представляется теория, согласно которой воспалительные изменения развиваются параллельно и в толще костей, формирующих суставные поверхности, и в тканях соответствующих хрящей. В данном случае пораженный артрозом сустав рассматривается не как совокупность хрящевых и костных структур с вспомогательным связочно-мышечным аппаратом, а как единый орган с общими иммунными, трофическими, метаболическими характеристиками.
Механизм развития артрозаАртроз любого сустава развивается по единой схеме: нарушение баланса анаболических и катаболических процессов (новообразования и разрушения) в хрящевой и прилегающей костной ткани приводит к необратимому повреждению суставных структур. Если в нормальном суставе процессы синтеза намного более активны, чем процессы деградации, то при артрозе данное равновесие смещается в сторону нарастания дистрофии и последующей дегенерации тканей. Изменения на клеточном уровне приводят к нарушению постоянства внутренней среды, повреждается микроструктура суставного хряща (выявляются очаги помутнения, истончения и разволокнения, микротрещины и разрывы). В зарубежной литературе данные процессы обозначаются как «wear and tear» - стирание и растрескивание.
Следствием дегенеративного перерождения тканей является потеря суставным хрящом эластичности, его уплотнение, становится несостоятельной амортизационная функция, нарушается взаиморасположение (конгруэнтность) суставных поверхностей, что провоцирует прогрессирование патологических изменений, формируется своеобразный порочный круг. Компенсаторно, в ответ на истончение хрящевой прослойки, начинается уплотнение и разрастание прилегающей костной ткани, формируются костные выросты, шипы, осложняющие адекватное функционирование сустава и усугубляющие течение заболевания.
Помимо концепции развития артроза, в которой ведущая роль отводится дистрофическим изменениям хрящевой ткани сустава, существует предположение о первичности поражения костной ткани суставных поверхностей.
В соответствии с данной теорией, в толще головок костей, формирующих подвижное соединение, нарушается микроциркуляция, развивается венозный застой, образуются очаги внутрикостных микроинфарктов. На фоне нарушения кровоснабжения происходит истощение минерального состава кости, что ведет к структурной перестройке ткани, появлению микроскопических очагов остеопороза. Спектр подобных изменений не может не отражаться на состоянии близлежащей хрящевой ткани, приводя, соответственно, и к ее патологическим изменениям.
Артроз – наиболее распространенная патология в ревматологической практике, по данным медицинской статистики им страдает до 1/5 части всего населения.
Значительная роль в формировании артроза отводится патологическим реакциям со стороны синовиальной оболочки, внутренней выстилки капсулы сустава: микрофрагменты разрушенного хряща попадают во внутрисуставную жидкость, активизируя медиаторы воспаления, литические ферменты, аутоиммунные механизмы, и усиливают тем самым деструктивные процессы.
Основным пусковым механизмом артроза любой локализации является острое или хроническое несоответствие между нагрузкой, которой подвергается сустав, и его функциональными возможностями, способностью адекватно эту нагрузку выдерживать.
Причинные факторы, которые наиболее часто провоцируют развитие артроза:
Факторы, способствующие развитию артрозаВ большинстве случаев артроз имеет полиэтиологическую природу, т. е. развивается при сочетанном воздействии нескольких причинных факторов.
В зависимости от этиологического фактора выделяют две основные формы артроза:
В зависимости от количества вовлеченных суставов:
По преимущественной локализации воспалительного процесса:
Виды артроза по локализации воспалительного процессаВ зависимости от интенсивности воспалительного процесса:
По наличию сопутствующего синовита:
В зависимости от компенсированности процесса:
Степень артроза определяется по характеру нарушения функциональной активности суставов (ФНС – функциональная недостаточность суставов):
При 3-й степени артроза пациент нетрудоспособен, самообслуживание значительно затруднено или невозможно, необходим постоянный уход.
Артроз редко встречается в молодом возрасте, дебютирует чаще всего после 40-45 лет, при этом у лиц старше 70 лет рентгенологические признаки определяются в подавляющем большинстве случаев.
Согласно классификации Келлгрена и Лоуренса (I. Kellgren, I. Lawrence) в зависимости от объективной рентгенологической картины выделяют 4 стадии артроза:
В последние годы широкое распространение приобрела артроскопическая классификация стадий артроза в зависимости от морфологических изменений хрящевой ткани:
Для артроза не характерна острая клиническая картина, изменения суставов носят прогрессирующий, медленно нарастающий характер, что проявляется постепенным усилением симптоматики:
Основные симптомы артроза – боль, хруст, скованность в пораженном суставеБоль при артрозе носит тупой преходящий характер, появляется при движении, на фоне интенсивной нагрузки, к концу дня (может быть настолько интенсивной, что не позволяет пациенту уснуть). Постоянный, немеханический характер боли для артроза нехарактерен и свидетельствует о наличии активного воспаления (субхондральной кости, синовиальной оболочки, связочного аппарата или периартикулярных мышц).
Большинство пациентов отмечает наличие так называемых стартовых болей, возникающих в утренние часы после пробуждения или после длительного периода бездействия и проходящих в ходе двигательной активности. Многие пациенты определяют данное состояние как необходимость «разработать сустав» или «расходиться».
Для артроза характерна утренняя скованность, которая имеет четкую локализацию и носит кратковременный характер (не более 30 минут), иногда она воспринимается пациентами как «чувство желе» в суставах. Возможно ощущение заклинивания, тугоподвижности.
При развитии реактивного синовита к основным симптомам артроза присоединяются:
Для артроза характерно увеличение сустава в объеме, припухание мягких тканейЧитайте также:Помощь при артрозе: 8 простых упражнений для пальцев и ладоней
Диагностика артроза основывается на оценке анамнестических данных, характерных проявлений заболевания, результатов инструментальных методов исследования. Показательные изменения в общем и биохимическом анализах крови для артроза не характерны, они появляются лишь при развитии активного воспалительного процесса.
Основным инструментальным методом диагностики артроза является рентгенография, в диагностически неясных случаях рекомендовано проведение компьютерной или магниторезонансной томографии.
Артроз коленного и тазобедренного суставов занимает ведущее место по степени тяжести клинических проявлений и отрицательному влиянию на качество жизни.
Дополнительные диагностические методы:
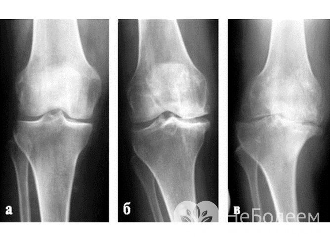
Арторз легкой, средней, тяжелой степени на рентгенографииМедикаментозная терапия:
Физиотерапевтические методики, применяемые для лечения артроза:
Лечебная гимнастика при артрозе тормозит прогрессирование заболевания и улучшает подвижность суставовПри неэффективности перечисленных методов воздействия, при наличии осложнений прибегают к оперативному лечению артроза:
На ранних стадиях заболевания применяют механический, лазерный или холодноплазменный дебридмент (сглаживание поверхности поврежденного хряща, удаление нежизнеспособных участков). Данный метод эффективно купирует болевой синдром, но носит временный эффект – 2-3 года.
Последствиями артроза, особенно в отсутствие адекватного лечения, становятся:
Прогноз для жизни благоприятный. Благоприятность социального и трудового прогноза зависит от своевременности диагностики и начала лечения, снижается при затягивании решения вопроса о хирургическом лечении заболевания в случае необходимости.
Видео с YouTube по теме статьи:

Информация является обобщенной и предоставляется в ознакомительных целях. При первых признаках болезни обратитесь к врачу. Самолечение опасно для здоровья!
Наши почки способны очистить за одну минуту три литра крови.



