Воспользуйтесь поиском по сайту:

Арахноидальная киста головного мозга – доброкачественное полое образование, заполненное жидкостью, формирующееся на поверхности головного мозга в области его паутинных (арахноидальных) оболочек.
Арахноидальная мозговая оболочка – одна из трех мозговых оболочек, расположенная между поверхностной твердой оболочкой мозга и глубокой мягкой мозговой оболочкой.
Стенки арахноидальной кисты формируются либо клетками паутинной оболочки мозга (первичная киста), либо рубцовым коллагеном (вторичная киста). Арахноидальная киста может быть двух типов:
В большинстве случаев развитие арахноидальной кисты протекает бессимптомно. Ярко выраженная неврологическая симптоматика присутствует лишь в 20% случаев.
Среди факторов, влияющих на появление и рост арахноидальной кисты, выделяют:
В большинстве случаев кисты головного мозга (арахноидальная, ретроцеребеллярная кисты) протекают бессимптомно. Данные новообразования выявляются при очередном обследовании пациента либо при диагностике неврологических заболеваний схожей симптоматики. Симптомы арахноидальной кисты неспецифические. Выраженность симптоматики арахноидальной, ретроцеребеллярной кисты зависит от локализации и размеров образования. У большинства пациентов наблюдается общемозговая симптоматика, связанная со сдавливанием определенных участков мозга. Крайне редко наблюдается очаговая симптоматика, обусловленная формированием гигромы, разрывом арахноидальной кисты.
Основные симптомы арахноидальной, ретроцеребеллярной кисты:
Следует отметить, что при вторичном типе арахноидальной кисты клиническая картина может быть дополнена симптомами основного заболевания или травмы, являющейся первопричиной образования кистозной полости.
Читайте также:6 наиболее распространенных мифов о человеческом мозге
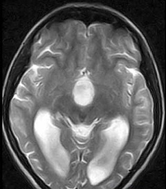
Для диагностики арахноидальной ликворной кисты (кисты, заполненной ликвором) применяют различные методы. Основными среди них являются магнитно-резонансная томография и компьютерная томография для выявления кистозного образования, определения его локализации, размеров. Внутривенное введение контраста позволяет дифференцировать арахноидальную ликворную кисту от опухоли (опухоль накапливает контраст, киста нет).
Следует помнить, что арахноидальная киста чаще является следствием другого неврологического заболевания либо нарушения функционирования каких-либо систем органов. Для идентификации первопричин арахноидальной кисты применяют следующие методы диагностики:

По динамике развития арахноидальных кист различают замершие кистозные образования и прогрессирующие кисты. Как правило, замершие образования не причиняют пациенту болезненных ощущений, не представляют риска для нормальной мозговой деятельности. В таком случае лечение арахноидальной кисты не требуется. При замерших формах кист диагностика и лечение направлены на выявление первопричин образования кисты, а также устранение и предупреждение факторов, способствующих образованию новых кист.
При прогрессирующем типе кистозных образований лечение арахноидальной кисты предполагает комплекс мер, направленный на выявление и устранение причин возникновения кисты, а также непосредственное удаление самой кисты.
Медикаментозное лечение арахноидальной кисты направлено на устранение воспалительных процессов, нормализацию мозгового кровоснабжения, восстановление поврежденных клеток головного мозга.
При неэффективности либо малой эффективности консервативных методов лечения арахноидальной кисты применяют радикальные методы. Показаниями к проведению оперативного вмешательства являются:
Основными методами оперативного лечения арахноидальной кисты являются:
При своевременной диагностике и лечении арахноидальной кисты прогнозы весьма благоприятные. Основными рисками, связанными с развитием арахноидальной кисты, являются усиление сдавливающего воздействия тела кисты на мозговые центры, вследствие чего возникают нарушения функций организма, а также разрыв кисты. После удаления арахноидальной кисты последствиями могут стать нарушение слуха и зрения, речевой функции. При несвоевременной диагностике арахноидальной кисты последствия могут быть крайне опасны (гидроцефалия, мозговые грыжи, смерть).
Видео с YouTube по теме статьи:
Информация является обобщенной и предоставляется в ознакомительных целях. При первых признаках болезни обратитесь к врачу. Самолечение опасно для здоровья!
Препарат от кашля «Терпинкод» является одним из лидеров продаж, совсем не из-за своих лечебных свойств.
У меня арахноидальная киста височный доли слева сделал МРТ размер 4,3смХ1,5см.
Голова часто болит уже 2 месяц. Что делать, я уже у невропатолога лечился и у нейрохирурга, боли до сих пор не проходят в голове, что делать или какое лечение подскажите медикаментозное или какие лучше препараты для этого нужно.
Добрый день.
Лечиться по интернету в формате комментариев под статьей невозможно. Продолжайте лечение у невролога, сообщите, что боли продолжаются - врач будет корректировать терапию, подбирать те препараты, которые вам помогут. К сожалению, не всегда можно сразу сделать оптимальный выбор.
Здравствуйте.
Изменения глазного дна, вызванные повышенным внутричерепным давлением, специфичны, врач не спутает их с другими, поэтому если он не видит причин для беспокойства, скорее всего их действительно нет.
Спасибо Вам!
Добрый день.
Нельзя.
Здравствуйте, Наталья.
Все эти вопросы вы должны задавать не здесь, а неврологу на очном приеме, к которому нужно прийти с результатами анализов. Что касается службы в армии, то это зависит от кисты, симптомов и того, растет она или нет. Вопрос о годности к службе принимается медицинской комиссией.