Ангиография – это рентгенологическое исследование сосудов.
От обычного исследования этот метод отличается тем, что в кровеносные сосуды вводят контрастное вещество – органическое соединение йода, без которого на рентгенограмме сосуды не будут видны. Проводят ангиографию после общеклинического обследования пациента, в тех случаях, когда с помощью другого метода исследования установить диагноз не удалось. С помощью ангиографии сосудов можно выявить пороки в их развитии и повреждения (сужения, аневризмы, мальформацию), нарушение проходимости, а также пороки и повреждения различных внутренних органов, злокачественные и доброкачественные образования.
Разновидности ангиографии сосудов
В зависимости от поставленной задачи выделяют ангиографию мозга, артериографию, венографию, ангиографию сердца, лимфографию, флуоресцентную ангиографию.
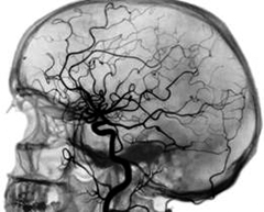
Исследование сосудов мозга называют церебральной ангиографией – после введения контраста за короткий промежуток времени делают несколько ангиограмм, отображающих венозную, артериальную, капиллярную фазы кровообращения. Ангиография мозга может быть прямой и непрямой. Выделяют каротидную и вертебральную прямую церебральную ангиографию. Чаще всего используют каротидный метод исследования – контраст вводят в шею, в сонную артерию. Вертебральная ангиография мозга отличается тем, что соединение йода вводится в позвоночную артерию. При непрямой церебральной ангиографии к сонной или позвоночной артерии подходят через другой крупный сосуд, например через артерию на бедре: вводят длинный катетер и нагнетают контраст.
Артериография - метод диагностики артерий, позволяющий выявить новообразования, расположившиеся возле кровеносных сосудов, закупорку и сужение просвета артерий, различные нарушения кровотока.
Венографию назначают при заболеваниях вен на руках и ногах. Исследование позволяет увидеть на снимке глубоко расположенные и поверхностные вены, их протяженность и локализацию, диагностировать тромбоз или варикозное расширение. В отдельных случаях венографию назначают для оценки патологий ритма сердца, определения сердечной недостаточности.
Более подробную информацию о сердечном заболевании дает ангиография сердца – исследование, с помощью которого изучают камеры сердца и артерии. Проводят ангиографию сердца в лечебных и диагностических целях. С ее помощью можно выявить различные патологии сосудов (тромбоз, сужение или расширение, закупорка), оценить давление крови в сердце и легочной артерии, сократительную способность миокарда.
Лимфография проводится для изучения лимфосистемы и назначается при злокачественных опухолях матки, яичников. С помощью этого исследования можно оценить степень заболевания и эффективность проведенной химиотерапии или операции по удалению лимфоузлов.
Флуоресцентная ангиография – это метод исследования глазных сосудов и глазного дна при воспалениях и дистрофических процессах в сосудистой оболочке и сетчатке, при гипертонии, диабетической ретинопатии, глаукоме. Кроме этого с помощью флуоресцентной ангиографии изучают бульварную конъюнктиву и радужку при различных заболеваниях. В качестве контраста используют натриевую соль флюоресцеина – 10% раствор. Вводят контраст в вену на локте – 3-5мл, но перед этим выявляют, как его переносит пациент.
Противопоказания к ангиографии
Нельзя проводить ангиографию сосудов при острых инфекциях и воспалительных заболеваниях, в тяжелых состояниях, при психических болезнях, серьезной почечной, печеночной и сердечной недостаточности, при аллергии на йод.
Нашли ошибку в тексте? Выделите ее и нажмите Ctrl + Enter.
У 5% пациентов антидепрессант Кломипрамин вызывает оргазм.
Средняя продолжительность жизни левшей меньше, чем правшей.
Многие наркотики изначально продвигались на рынке, как лекарства. Героин, например, изначально был выведен на рынок как лекарство от детского кашля. А кокаин рекомендовался врачами в качестве анестезии и как средство повышающее выносливость.
Согласно исследованиям, женщины, выпивающие несколько стаканов пива или вина в неделю, имеют повышенный риск заболеть раком груди.
Самое редкое заболевание – болезнь Куру. Болеют ей только представители племени фор в Новой Гвинее. Больной умирает от смеха. Считается, что причиной возникновения болезни является поедание человеческого мозга.
Человеческие кости крепче бетона в четыре раза.
Существуют очень любопытные медицинские синдромы, например, навязчивое заглатывание предметов. В желудке одной пациентки, страдающей от этой мании, было обнаружено 2500 инородных предметов.
Кроме людей, от простатита страдает всего одно живое существо на планете Земля – собаки. Вот уж действительно наши самые верные друзья.
На лекарства от аллергии только в США тратится более 500 млн долларов в год. Вы все еще верите в то, что способ окончательно победить аллергию будет найден?
Ученые из Оксфордского университета провели ряд исследований, в ходе которых пришли к выводу, что вегетарианство может быть вредно для человеческого мозга, так как приводит к снижению его массы. Поэтому ученые рекомендуют не исключать полностью из своего рациона рыбу и мясо.
В Великобритании есть закон, согласно которому хирург может отказаться делать пациенту операцию, если он курит или имеет избыточный вес. Человек должен отказаться от вредных привычек, и тогда, возможно, ему не потребуется оперативное вмешательство.
В четырех дольках темного шоколада содержится порядка двухсот калорий. Так что если не хотите поправиться, лучше не есть больше двух долек в сутки.
74-летний житель Австралии Джеймс Харрисон становился донором крови около 1000 раз. У него редкая группа крови, антитела которой помогают выжить новорожденным с тяжелой формой анемии. Таким образом, австралиец спас около двух миллионов детей.
Кровь человека «бегает» по сосудам под огромным давлением и при нарушении их целостности способна выстрелить на расстояние до 10 метров.
В стремлении вытащить больного, доктора часто перегибают палку. Так, например, некий Чарльз Йенсен в период с 1954 по 1994 гг. пережил более 900 операций по удалению новообразований.