Воспользуйтесь поиском по сайту:
Содержание статьи:
Аневризма сосудов головного мозга (внутричерепная аневризма, церебральная аневризма) – выпячивание артериальной стенки, обусловленное нарушением ее нормального трехслойного строения. Аневризма сосудов головного мозга локализуется в основном в местах разветвления артерий.
По оценке специалистов, данная патология является весьма распространенной (она имеется примерно у 5% населения), но так как в большинстве случаев протекает бессимптомно, остается недиагностированной или обнаруживается у пациента во время обследования, проводимого по другим причинам.
Главная опасность аневризмы сосудов головного мозга состоит в том, что она может разорваться. Это влечет нетравматическое субарахноидальное кровоизлияние. Чаще всего разрыв внутричерепной аневризмы происходит у людей в возрасте от 40 до 60 лет.
Выпячивание артериальной стенки сосуда головного мозгаНа сегодняшний день единой теории, объясняющей формирование названной сосудистой патологии, не существует. Большинство исследователей полагают, что аневризма головного мозга – многофакторная патология. К изменению строения стенки кровеносных сосудов могут приводить:
Помимо перечисленных, существуют факторы, непосредственно влияющие на развитие аневризмы, а затем и провоцирующие разрыв ее мешка. К ним относятся:
В зависимости от размеров выпячивания стенки артерии аневризмы сосудов головного мозга бывают следующих видов:
По месту локализации аневризмы делятся так:
Примерно в 15% случаев у пациентов имеется одновременно несколько аневризм, расположенных на разных артериях.
Несколько аневризм, расположенных на разных артерияхВ зависимости от формы аневризмы сосудов головного мозга могут быть веретенообразными и мешотчатыми. Вторая форма встречается примерно в 50 раз чаще, чем первая.
В зависимости от особенностей клинической картины выделяют три стадии аневризмы сосудов головного мозга:
Как говорилось выше, в большинстве случаев внутричерепные аневризмы протекают бессимптомно. Но иногда выпячивание артериальной стенки оказывает давление на те или иные мозговые структуры, что приводит к мозговым симптомам. Такое течение заболевания называют опухолеподобным. Чаще всего опухолеподобные аневризмы локализуются в кавернозном синусе и области хиазмы (перекреста зрительных нервов).
Аневризма сосудов головного мозга является весьма распространенной патологией, но так как часто протекает бессимптомно, остается недиагностированной или диагностируется случайно.
В случае расположения церебральной аневризмы в области хиазмы отмечаются:
Снижение остроты и сужение полей зрения могут возникать из-за аневризмыСимптомы аневризмы, локализованной в кавернозном синусе:
При длительно существующей церебральной аневризме может начаться процесс деструкции костей черепа.
При разрыве аневризмы возникает кровотечение в субарахноидальное пространство, желудочки или само вещество головного мозга. В этом случае заболевание принимает апоплексический характер.
При разрыве аневризмы сосудов головного мозга около 15% пациентов погибает на догоспитальном этапе.
Основные признаки разрыва аневризмы головного мозга:
Читайте также:6 наиболее распространенных мифов о человеческом мозге
При бессимптомном течении аневризмы сосудов головного мозга обычно становятся случайными диагностическими находками, обнаруживаемыми при обследовании пациента по иному поводу. При появлении клинической симптоматики церебральная аневризма диагностируется на основании имеющейся неврологической симптоматики, а также данных инструментальных исследований, к которым относятся:
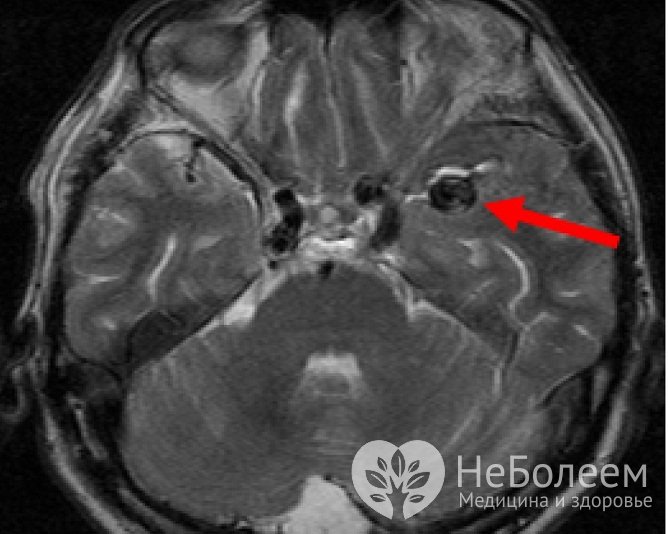
Аневризма сосудов головного мозга на МРТОбнаружение крови в цереброспинальной жидкости, полученной в ходе люмбальной пункции, – подтверждение разрыва аневризмы сосудов головного мозга.
Опухолеподобные формы церебральной аневризмы требуют дифференциальной диагностики с объемными процессами головного мозга (абсцессом, кистой, опухолью). При апоплексической форме заболевания проводится дифференциальная диагностика с менингитом, ишемическим инсультом, преходящими нарушениями мозгового кровообращения, приступом эпилепсии.
Пациенты с небольшими аневризмами сосудов головного мозга должны находиться под постоянным врачебным наблюдением для контролирования размеров выпячивания артериальной стенки и течения заболевания. Хирургическое лечение на данной стадии не показано. При необходимости проводят консервативную терапию, направленную на предупреждение увеличения аневризмы. С этой целью назначают антиаритмические, гипотензивные, антибактериальные препараты, статины для снижения уровня холестерина и другие лекарственные средства по показаниям.
Хирургическое лечение аневризмы сосудов головного мозга позволяет предотвратить ее возможный разрыв. Основными методами хирургического вмешательства в данном случае являются:
Эндоваскулярная эмболизация аневризмы сосудов головного мозгаРазрыв аневризмы сосудов головного мозга – ургентное состояние, требующее срочного оказания профильной медицинской помощи. Проводится консервативная терапия, аналогичная терапии при геморрагическом инсульте. При наличии показаний выполняется хирургическое вмешательство, направленное на удаление гематомы. При кровотечении в полость желудочков осуществляется ее дренирование.
Внутримозговое кровоизлияние, возникающее при разрыве аневризмы сосудов головного мозга, может привести к летальному исходу. В случае выживания пациенты нуждаются в длительной и дорогостоящей реабилитации. При этом у 25% больных остаются стойкие инвалидизирующие последствия.
Главная опасность аневризмы сосудов головного мозга состоит в том, что она может разорваться. Это влечет нетравматическое субарахноидальное кровоизлияние.
Небольшие по размерам церебральные аневризмы при отсутствии роста могут существовать в течение всей жизни пациента, не проявляясь клинически.
При разрыве аневризмы сосудов головного мозга около 15% пациентов погибает на догоспитальном этапе. Каждый второй пациент с разрывом внутричерепной аневризмы умирает в течение первого месяца заболевания. У 50% выживших наблюдаются неврологические расстройства той или иной степени выраженности.
Профилактика аневризм головного мозга должна строиться на исключении факторов риска, способствующих повреждению сосудистой стенки. Вот в чем она состоит:
Видео с YouTube по теме статьи:

Опыт работы: врач анестезиолог-реаниматолог городского родильного комплекса, врач реаниматолог отделения гемодиализа.
Информация является обобщенной и предоставляется в ознакомительных целях. При первых признаках болезни обратитесь к врачу. Самолечение опасно для здоровья!
Наши почки способны очистить за одну минуту три литра крови.

