Воспользуйтесь поиском по сайту:
Содержание статьи:
Амилоидоз – системное заболевание, при котором в органах и тканях происходит отложение амилоида (белково-полисахаридного вещества (гликопротеида)), что приводит к нарушению их функций.
Амилоид состоит из глобулярных и фибриллярных белков, которые тесно переплетаются с полисахаридами. Незначительное отложение амилоида в железистых тканях, строме паренхиматозных органов, стенках кровеносных сосудов не вызывает каких-либо клинических симптомов. Но при значительных амилоидных отложениях в органах происходят выраженные макроскопические изменения. Объем пораженного органа увеличивается, его ткани приобретают восковой или сальный блеск. В дальнейшем развивается атрофия органа с формированием функциональной недостаточности.
Заболеваемость амилоидозом составляет 1 случай на 50 000 человек. Болезнь чаще встречается у людей пожилого возраста.
Отложение амилоида – признак амилоидозаАмилоидоз обычно развивается на фоне длительно протекающих гнойно-воспалительных (бактериального эндокардита, бронхоэктатической болезни, остеомиелита) или хронических инфекционных (малярии, актиномикоза, туберкулеза) заболеваний. Несколько реже амилоидоз развивается у пациентов с онкологической патологией:
Амилоидоз может поражать различные органы, а клиническая картина заболевания многообразна.
Также к амилоидозу могут привести следующие заболевания:
Существуют не только приобретенные, но и наследственные формы амилоидоза. К ним относятся:
Факторы возникновения амилоидоза:
В зависимости от причин, его вызвавших, амилоидоз делится на несколько клинических форм:
В зависимости от того, в каком органе преимущественно откладываются амилоидные отложения, выделяют:
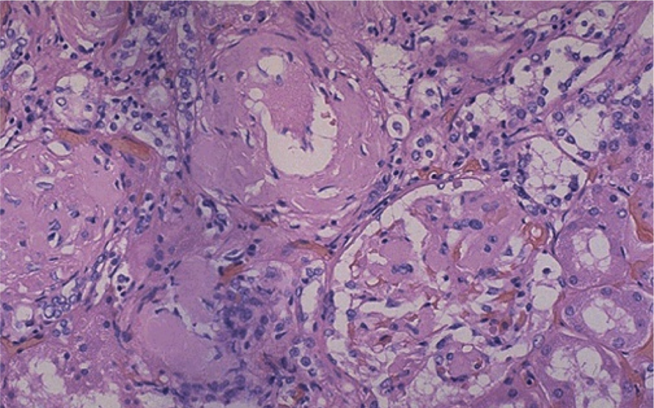
Амилоидоз почекТакже амилоидоз бывает локальным и системным. При локальном амилоидозе отмечается преимущественное поражение одного органа, при системном – двух и более.
Клиническая картина амилоидоза разнообразна: симптоматика определяется длительностью заболевания, локализацией амилоидных отложений и их интенсивностью, степенью нарушений функций органа, особенностью биохимического строения амилоида.
В начальной (латентной) стадии амилоидоза симптоматика отсутствует. Обнаружить наличие амилоидных отложений возможно только при микроскопии. В дальнейшем по мере увеличения отложений патологического гликопротеида возникает и прогрессирует функциональная недостаточность пораженного органа, что и определяет особенности клинической картины заболевания.
Факторы возникновения амилоидоза: генетическая предрасположенность, нарушения клеточного иммунитета, гиперглобулинемия.
При амилоидозе почек длительное время отмечается умеренная протеинурия. Затем развивается нефротический синдром. Основными симптомами амилоидоза почек являются:
Для амилоидоза сердца характерна триада признаков:
На поздних стадиях заболевания даже незначительные физические нагрузки приводят к появлению резкой слабости, одышки. На фоне сердечной недостаточности может развиться полисерозит:
При амилоидозе желудочно-кишечного тракта обращает на себя внимание увеличение языка (макроглоссия), что связано с отложением в толще его тканей амилоида. Другие проявления:
Амилоидное поражение поджелудочной железы обычно протекает под маской хронического панкреатита. Отложение амилоида в печени становится причиной портальной гипертензии, холестаза и гепатомегалии.
При амилоидозе кожи в области шеи, лица и естественных складок появляются восковидные узелки. Нередко амилоидоз кожи по своему течению напоминает плоский красный лишай, нейродермит или склеродермию.
Симптомы амилоидоза кожиПри амилоидозе опорно-двигательного аппарата у больного развиваются:
Тяжело протекает амилоидоз нервной системы, для которого характерны:
Читайте также:7 советов по профилактике инсульта
Как сохранить здоровье почек: 10 привычек, от которых необходимо отказаться
С учетом того, что амилоидоз может поражать различные органы, а клиническая картина заболевания многообразна, его диагностика представляет определенные трудности. Оценить функциональное состояние внутренних органов позволяют:
Заболеваемость амилоидозом составляет 1 случай на 50 000 человек. Болезнь чаще встречается у людей пожилого возраста.
Предположить амилоидоз можно при обнаружении в результатах лабораторных исследований следующих изменений:
Для окончательной диагностики необходимо произвести пункционную биопсию пораженных тканей (слизистой оболочки прямой кишки, желудка, лимфатических узлов; десен; почек) с последующим гистологическим исследованием полученного материала. Обнаружение в исследуемом образце амилоидных фибрилл будет подтверждением диагноза.
В терапии первичного амилоидоза используют глюкокортикоидные гормоны и цитостатические препараты.
При вторичном амилоидозе лечение направлено прежде всего на фоновое заболевание. Также назначают лекарственные средства 4-аминохинолинового ряда. Рекомендована низкобелковая диета с ограничением поваренной соли.
Развитие терминальной стадии хронической почечной недостаточности является показанием для гемодиализа.
При развитии почечной недостаточности показан гемодиализАмилоидоз может осложняться следующими патологиями:
Амилоидоз – это хроническое прогрессирующее заболевание. При вторичном амилоидозе прогноз во многом определяется возможностью проведения терапии основного заболевания.
При развитии осложнений прогноз ухудшается. После появления симптомов сердечной недостаточности средняя продолжительность жизни обычно не превышает нескольких месяцев. Продолжительность жизни пациентов с хронической почечной недостаточностью составляет в среднем 12 месяцев. Этот срок несколько увеличивается в случае проведения гемодиализа.
Профилактика первичного (идиопатического) амилоидоза отсутствует, так как неизвестна причина.
Для профилактики вторичного амилоидоза важно своевременно выявлять и лечить инфекционные, онкологические и гнойно-воспалительные заболевания.
Профилактика генетических форм амилоидоза состоит в медико-генетическом консультировании семейных пар на этапе планирования беременности.
Видео с YouTube по теме статьи:

Опыт работы: врач анестезиолог-реаниматолог городского родильного комплекса, врач реаниматолог отделения гемодиализа.
Информация является обобщенной и предоставляется в ознакомительных целях. При первых признаках болезни обратитесь к врачу. Самолечение опасно для здоровья!
В нашем кишечнике рождаются, живут и умирают миллионы бактерий. Их можно увидеть только при сильном увеличении, но, если бы они собрались вместе, то поместились бы в обычной кофейной чашке.







